5.  Tumor teratóide rabdóide atípico de III ventrículo. SNF, MAP2, S100
....
Fem. 17a 
......
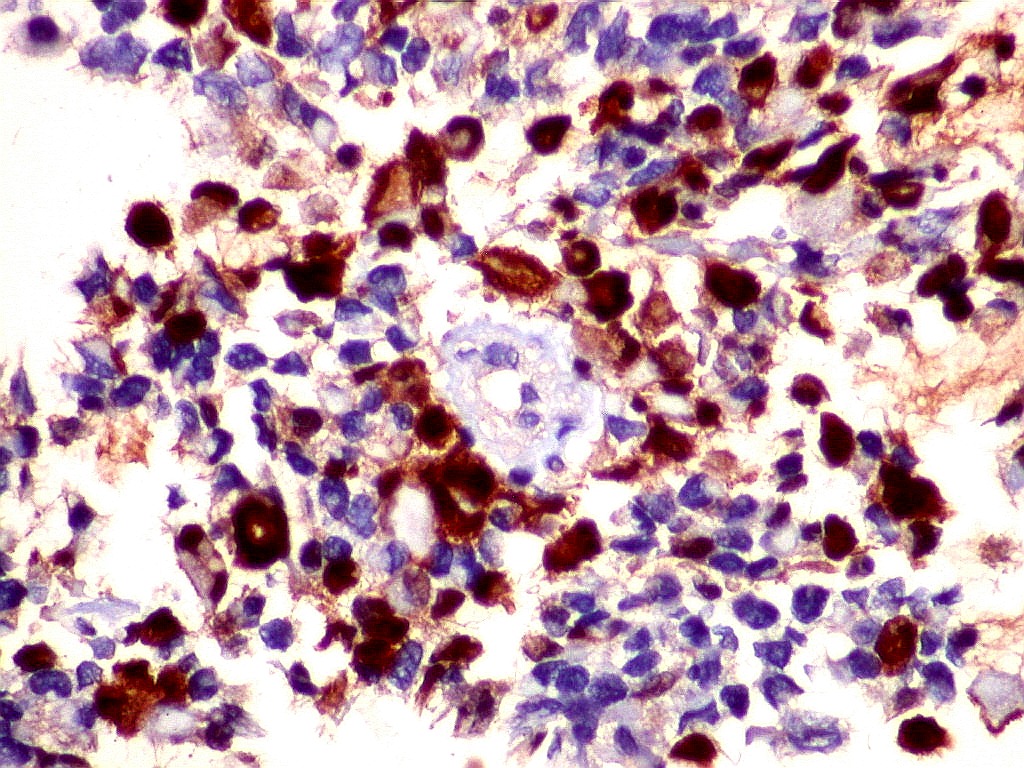
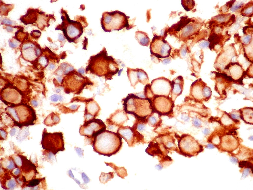
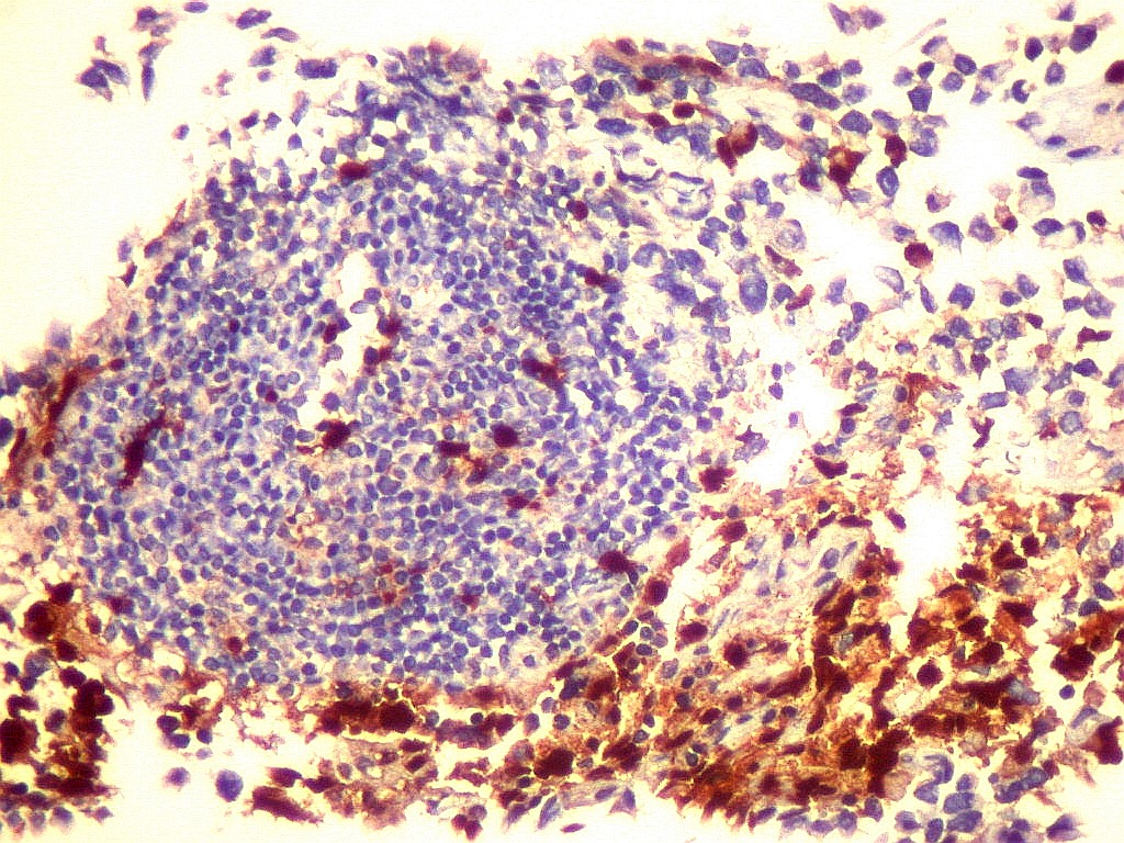
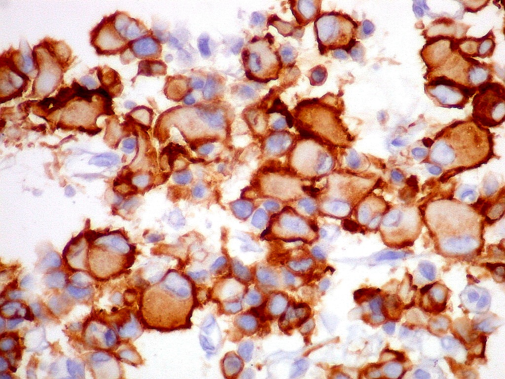
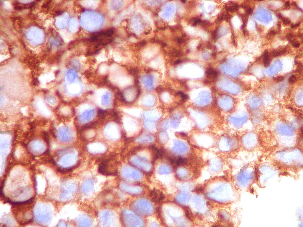
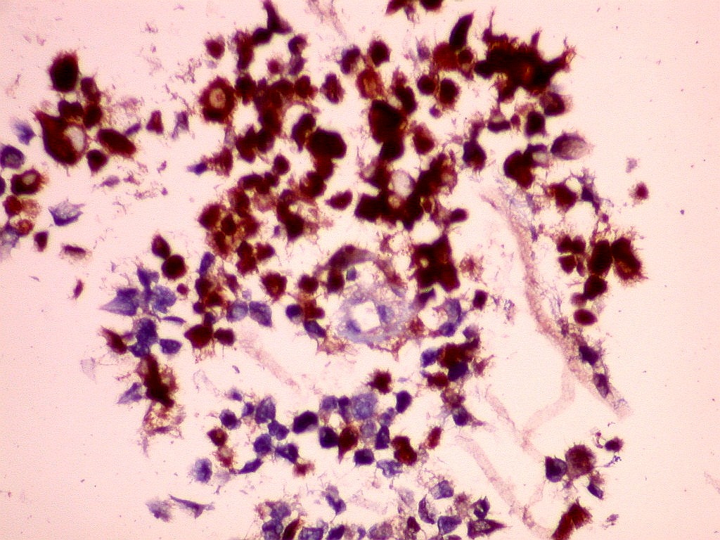
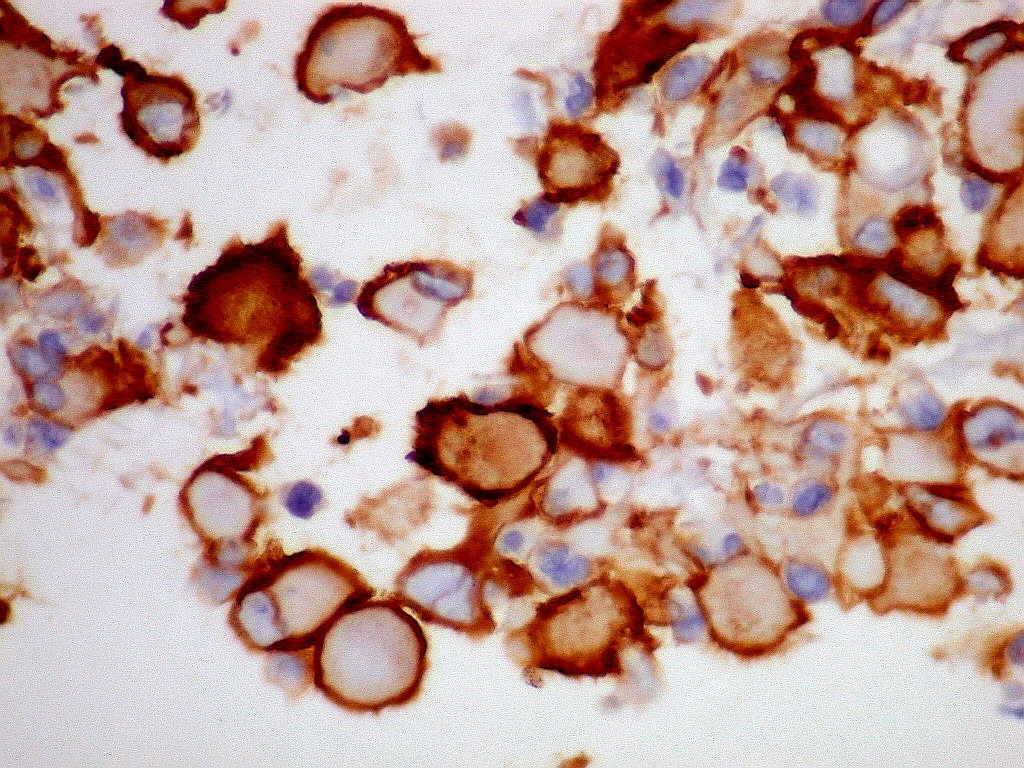
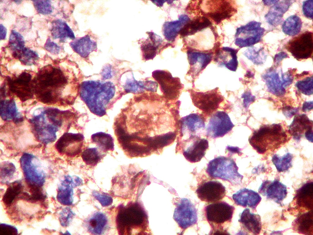
Sinaptofisina.     SNF, um marcador de neurônios, foi positiva no citoplasma em parte das células neoplásicas deste ATRT, enfatizando a expressão multifenotípica dos antígenos neste tumor. 
....
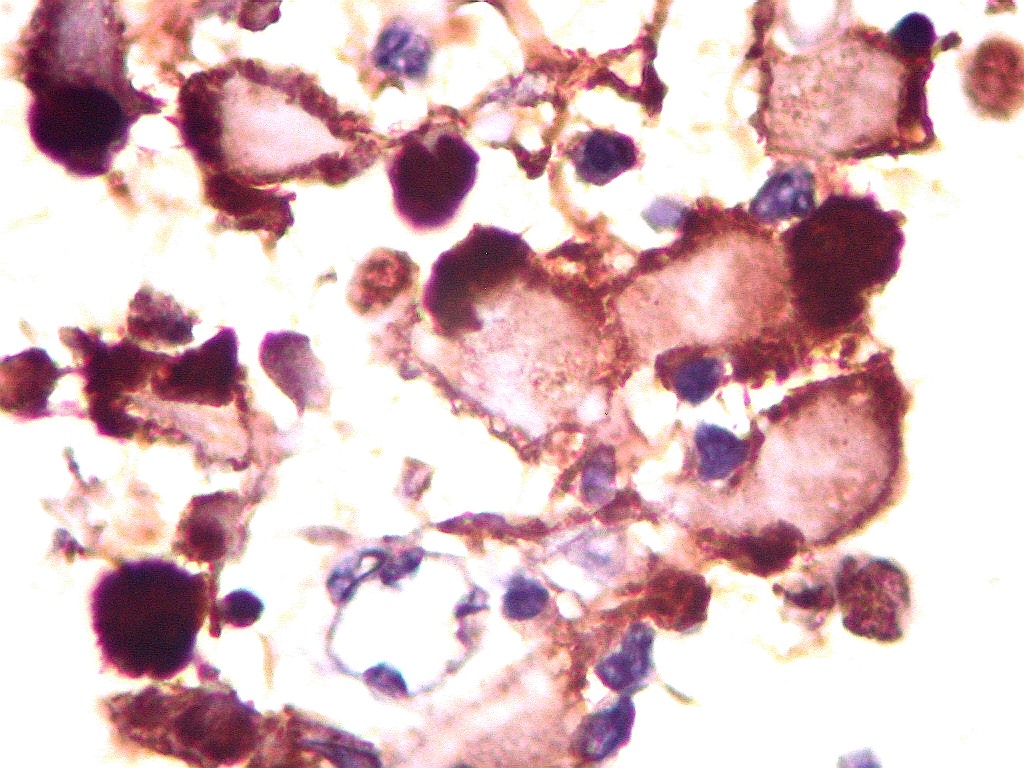
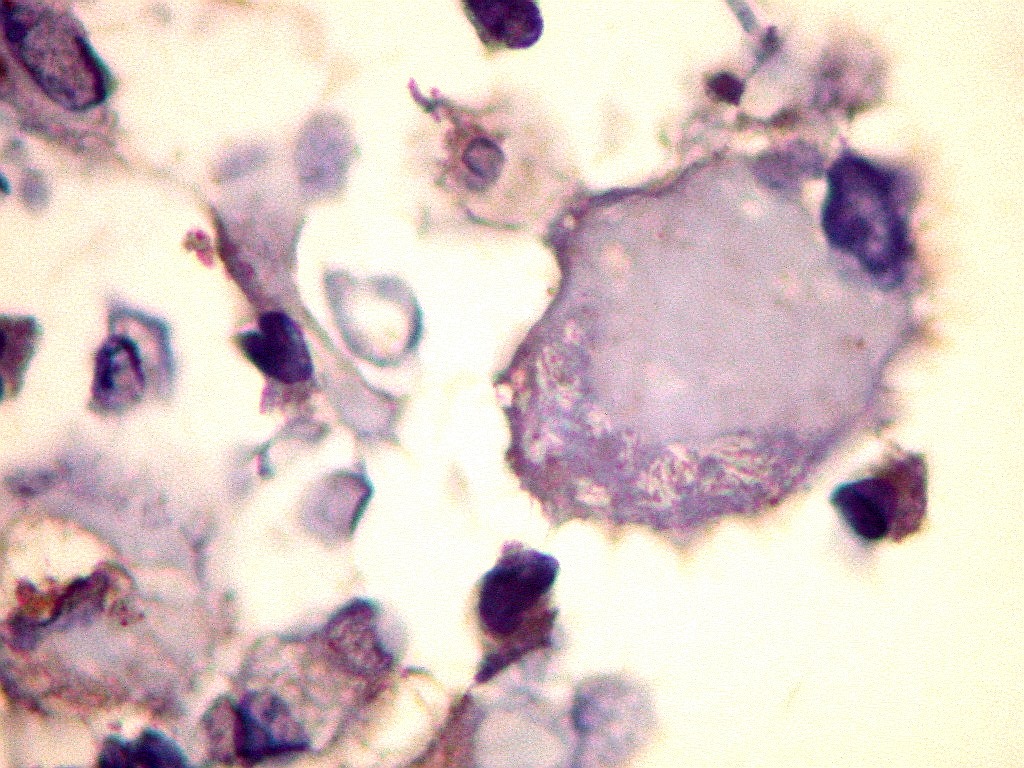
Células  SNF negativas. 
..
....
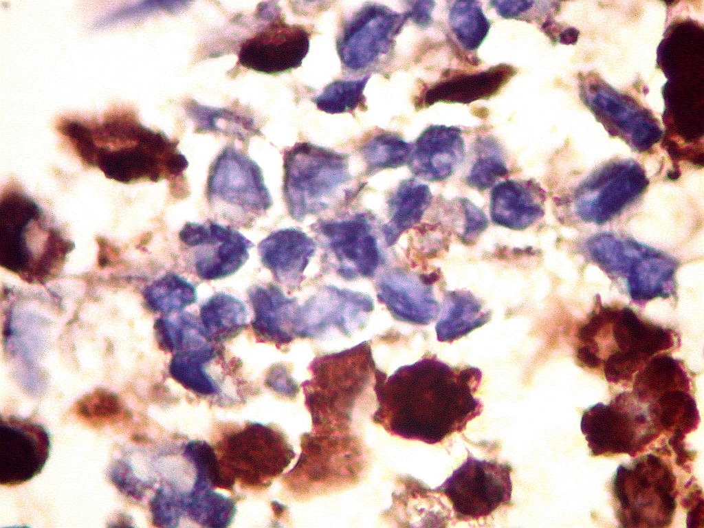
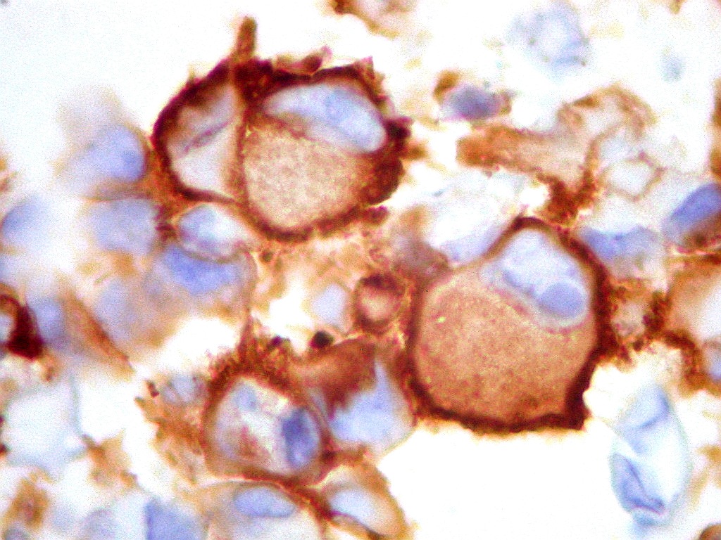
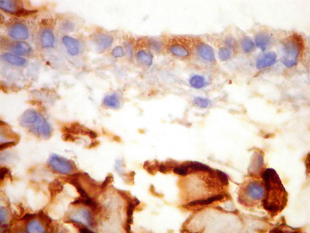
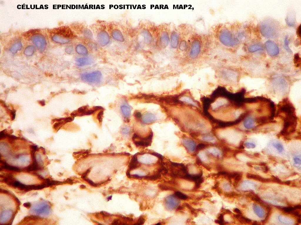
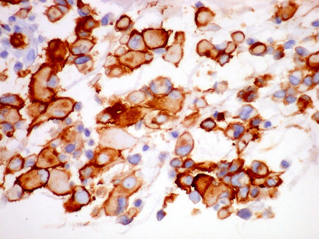
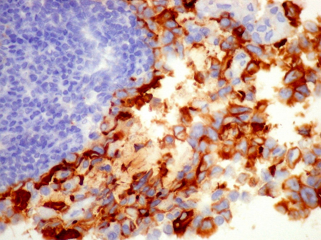
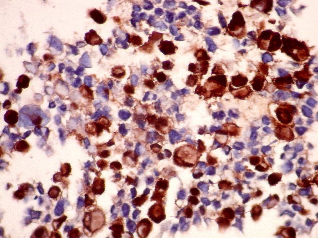
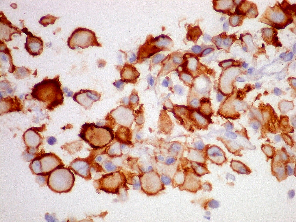
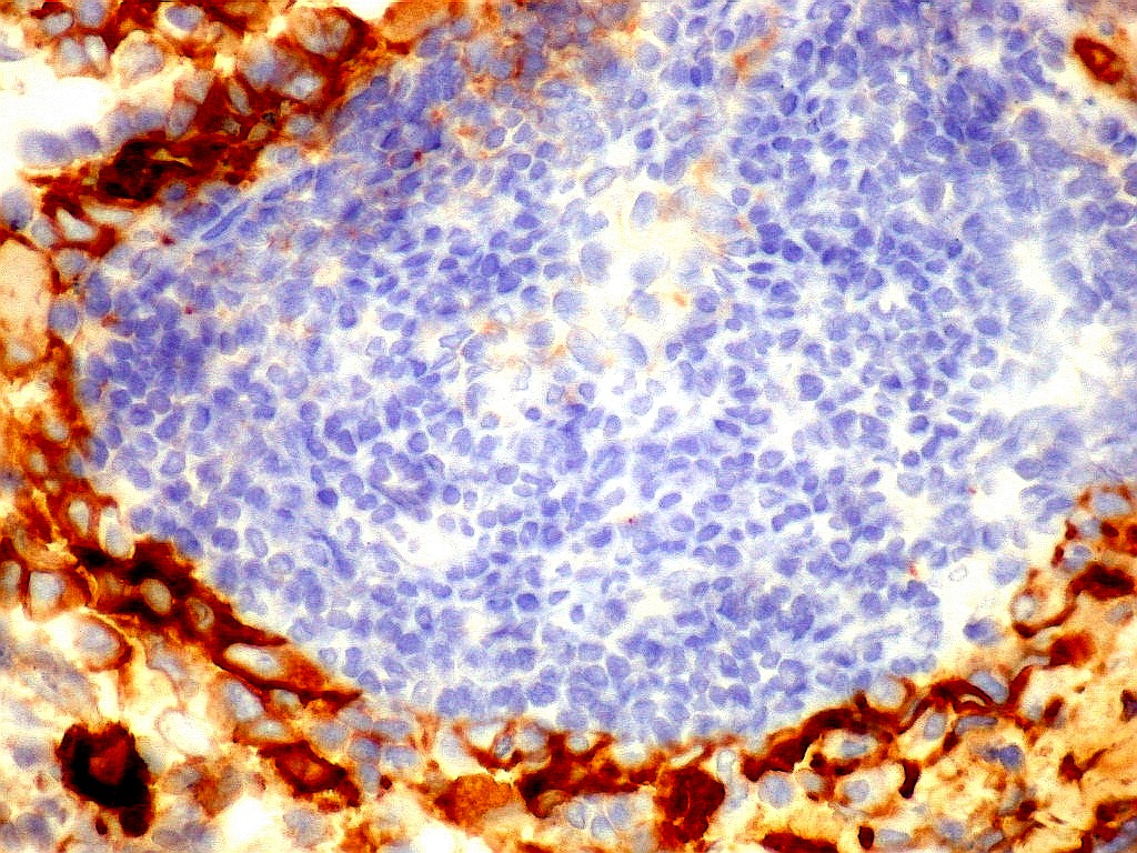
MAP2.   Microtubular associated protein,  marcador de diferenciação  neuronal. Universalmente positivo nas células deste ATRT.  Folículo linfóide  negativo (controle  interno).  Marcação é citoplasmática, na periferia do citoplasma.  Corpúsculo rabdóide negativo.  Para mais sobre MAP2, clique.
..
....
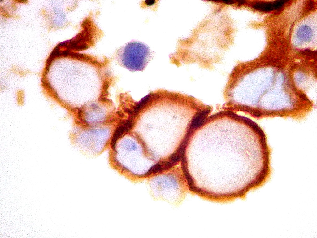
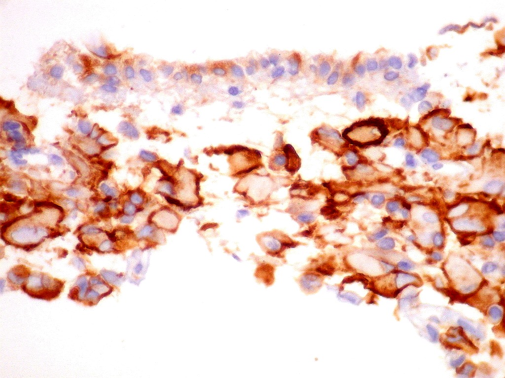
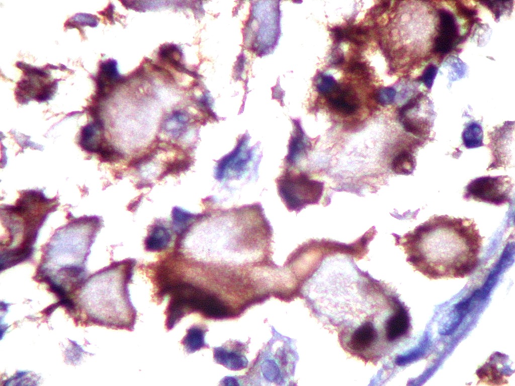
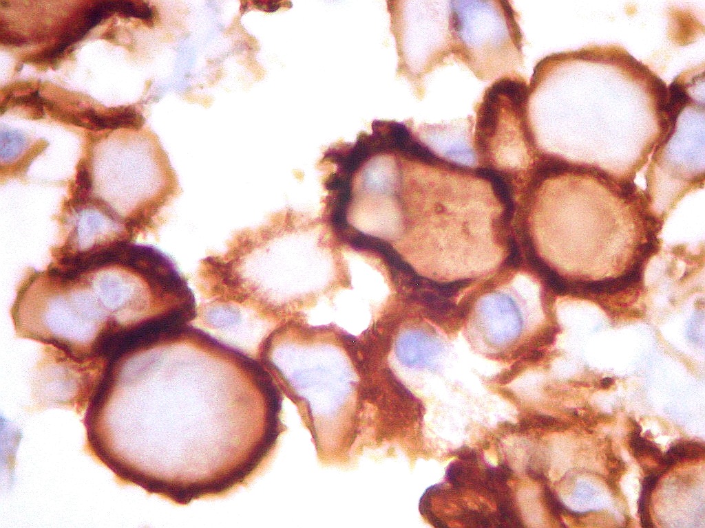
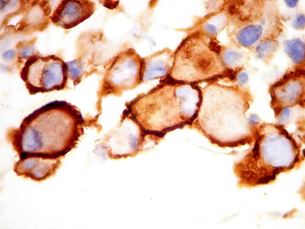
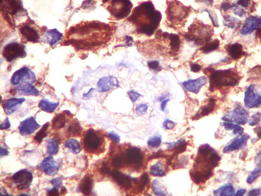
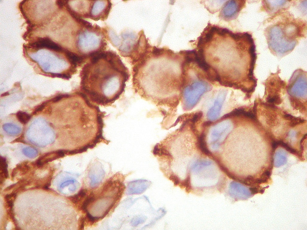
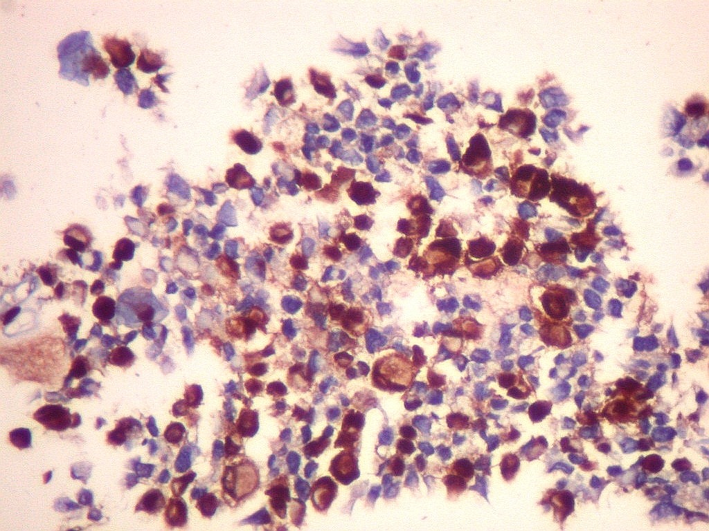
S-100.   Proteína S100 é expressa em células originadas da crista neural, como melanócitos e células de Schwann, e em macrófagos.  Aqui é observada em parte das células tumorais, em positividade nuclear e citoplasmática. 
..
....
Agradecimentos.    Caso do Centro Infantil Boldrini, Campinas, SP.   Preparações histopatológicas e imunohistoquímicas pelos técnicos do Laboratório de Patologia daquele hospital  - Srs. Aparecido Paulo de Moraes e Irineu Mantovanelli Neto. 
..............
Mais imagens deste caso.
F. 17a. Tumor teratóide rabdóide atípico de III ventrículo.  RM  HE VIM, GFAP HHF35, desmina, 1A4 AE1AE3, EMA
Sinaptofisina. MAP2, S-100 INI1 CD3, CD20, CD68, CD34 Ki67 p53
....
Tumor teratóide/rabdóide  atípico. 
Casos de neuroimagem, neuropatologia
Tumor teratóide/rabdóide atípico, textos  (1) (2)
...
Neuropatologia
- Graduação
Neuropatologia -
Estudos de casos
Neuroimagem
- Graduação
Neuroimagem - 
Estudos de Casos
Roteiro 
de aulas
Textos 
de apoio
Correlação 
Neuropatologia - Neuroimagem
Índice alfabético - Neuro Adições recentes Banco de imagens - Neuro Textos ilustrados Neuromuscular Patologia - outros aparelhos Pages in English
..
..