Tumor teratóide rabdóide atípico de III ventrículo. 
3. Antígenos musculares.  HHF-35, desmina, 1A4.
....
Fem. 17a 
..........
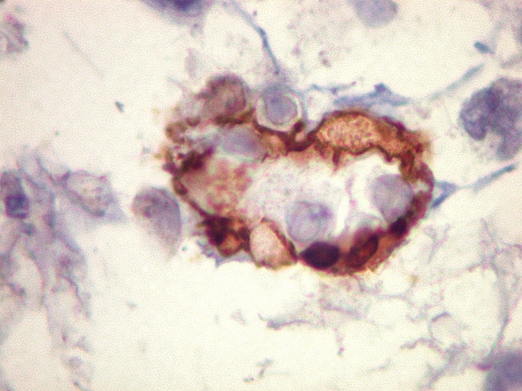
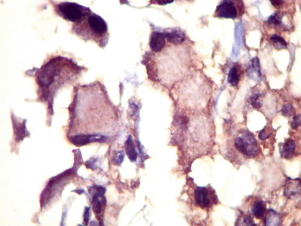
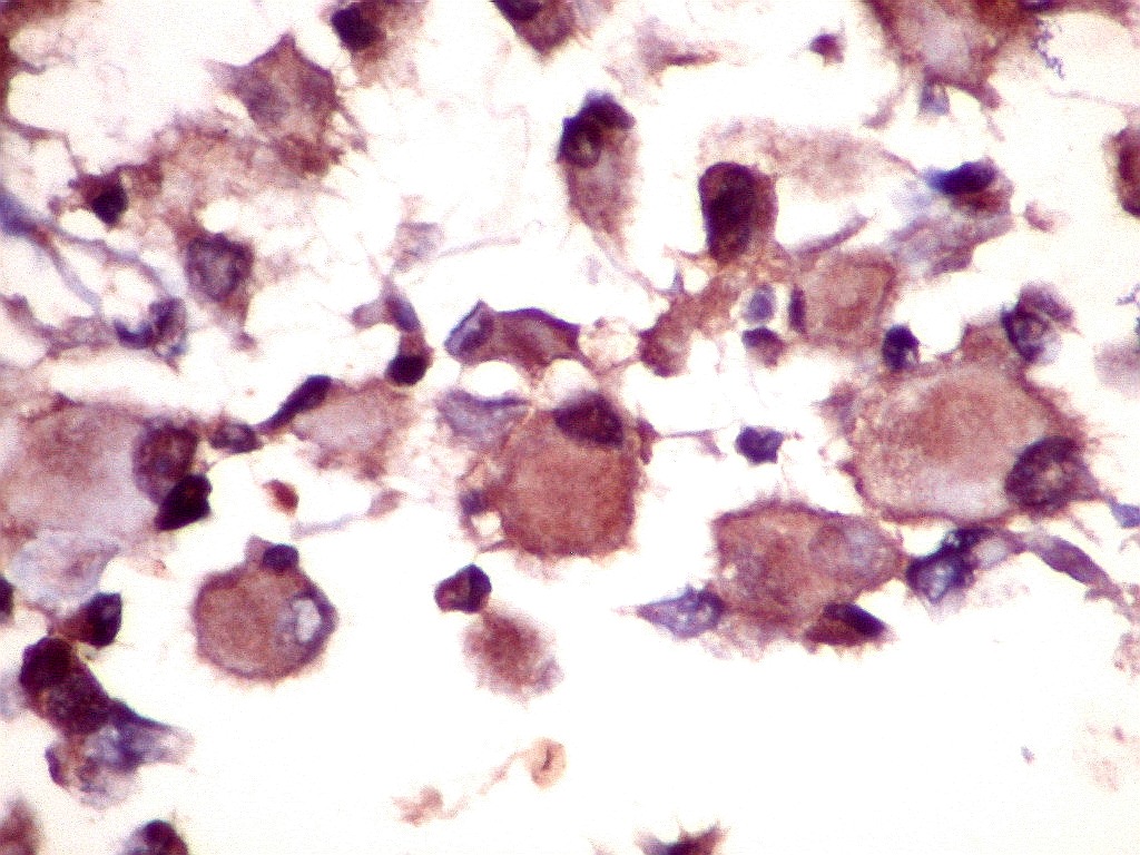
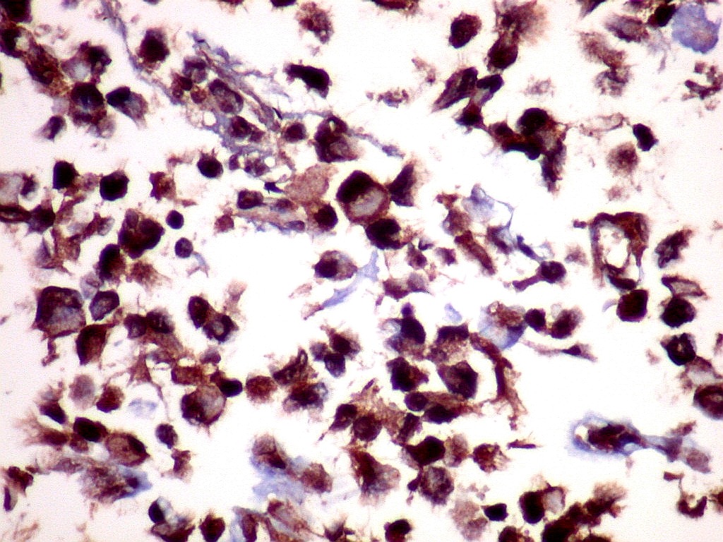
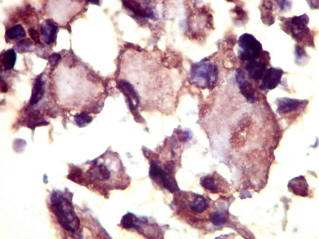
HHF-35. Actina muscular específica é expressada no citoplasma das células rabdóides neoplásicas, indicando diferenciação muscular. Para mais sobre este anticorpo, clique.
..
..
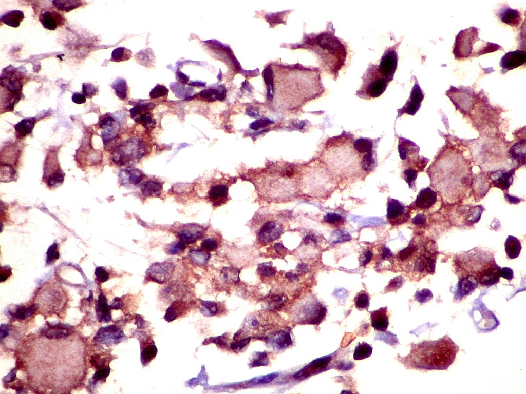
Desmina.   Filamento intermediário do citoesqueleto presente em células musculares estriadas. Para mais sobre este anticorpo, clique.
..
..
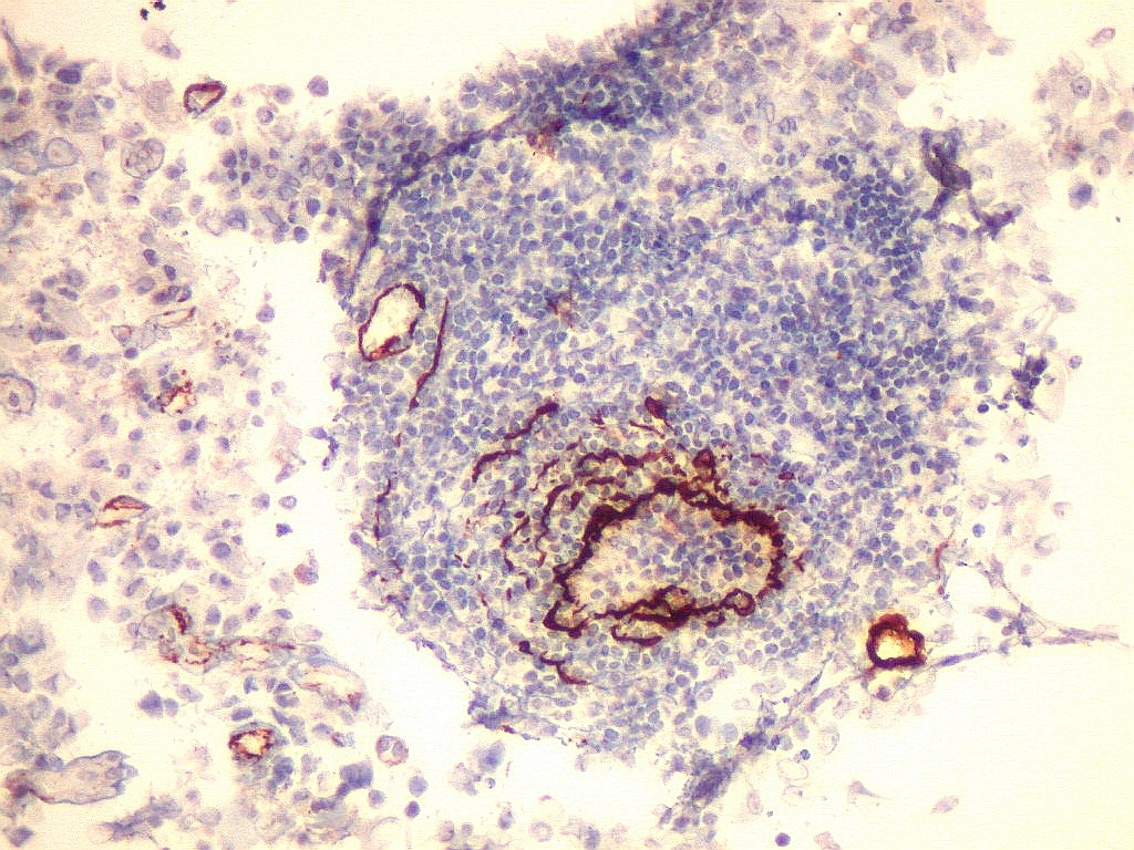
1A4.    Actina alfa de músculo liso (smooth muscle actin), reconhecida pelo anticorpo 1A4.  Ausente nas células neoplásicas, presente nos vasos do tumor. Para mais sobre este anticorpo, clique.
....
Agradecimentos.    Caso do Centro Infantil Boldrini, Campinas, SP.   Preparações histopatológicas e imunohistoquímicas pelos técnicos do Laboratório de Patologia daquele hospital  - Srs. Aparecido Paulo de Moraes e Irineu Mantovanelli Neto. 
..............
Mais imagens deste caso.
F. 17a. Tumor teratóide rabdóide atípico de III ventrículo.  RM  HE VIM, GFAP HHF35, desmina, 1A4 AE1AE3, EMA
Sinaptofisina. MAP2, S-100 INI1 CD3, CD20, CD68, CD34 Ki67 p53
....
Tumor teratóide/rabdóide  atípico. 
Casos de neuroimagem, neuropatologia
Tumor teratóide/rabdóide atípico, textos  (1) (2)
...
Neuropatologia
- Graduação
Neuropatologia -
Estudos de casos
Neuroimagem
- Graduação
Neuroimagem - 
Estudos de Casos
Roteiro 
de aulas
Textos 
de apoio
Correlação 
Neuropatologia - Neuroimagem
Índice alfabético - Neuro Adições recentes Banco de imagens - Neuro Textos ilustrados Neuromuscular Patologia - outros aparelhos Pages in English
..
....