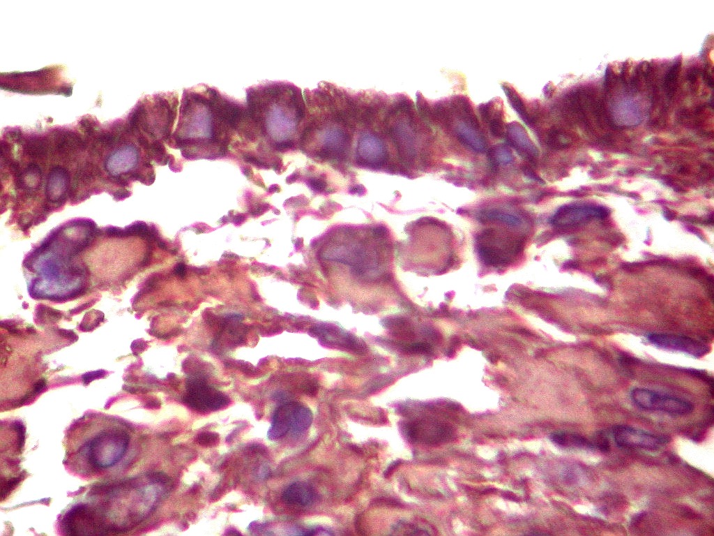
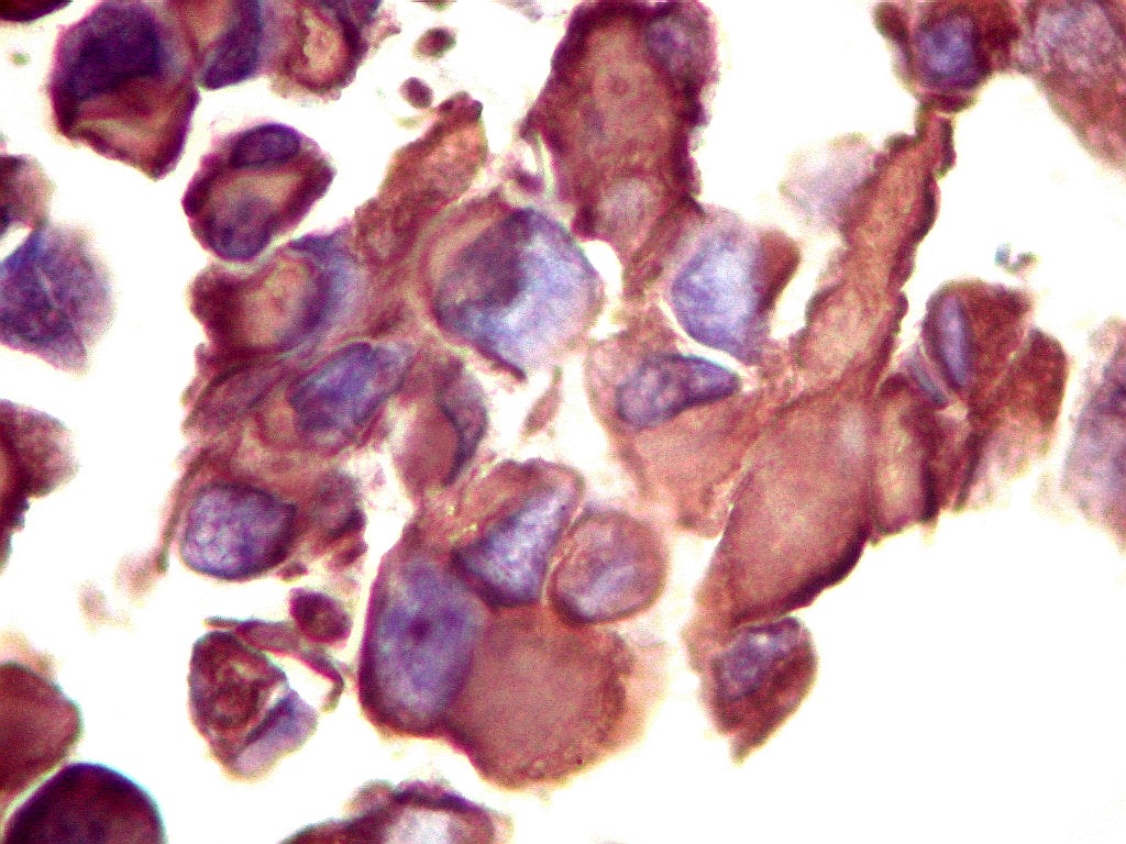
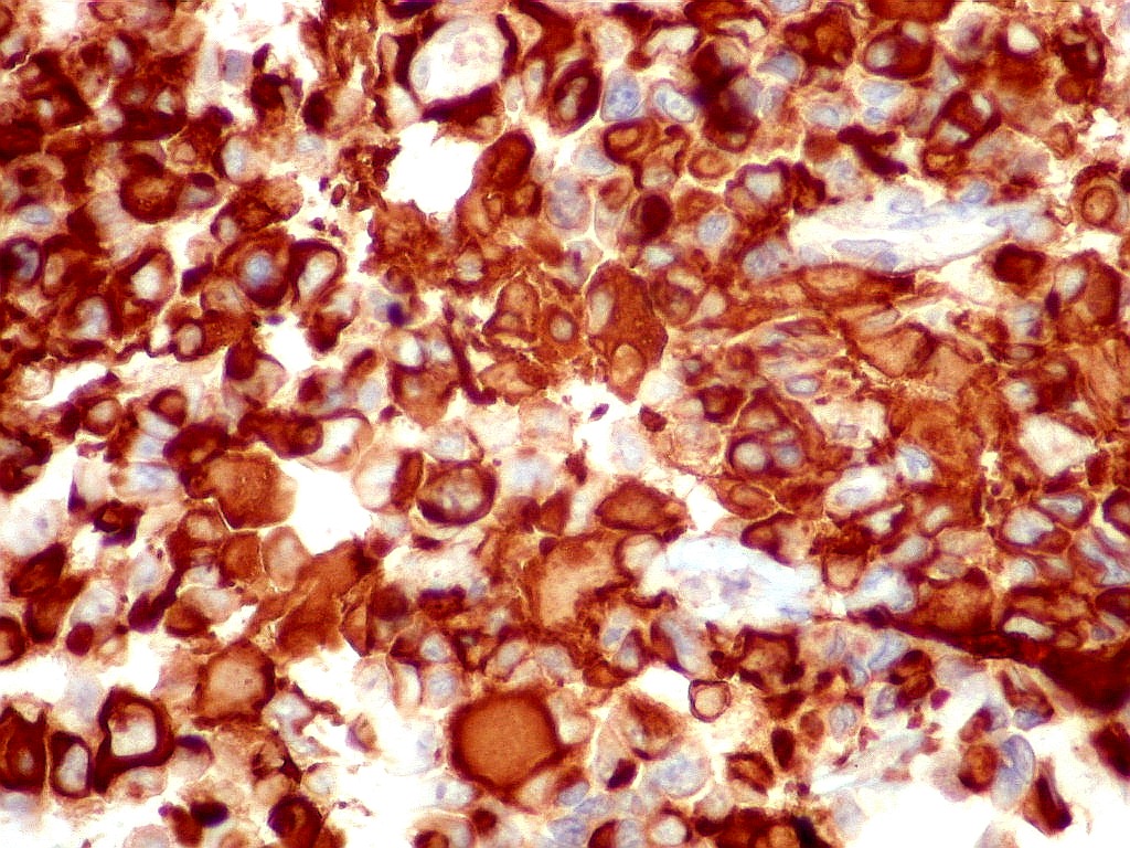
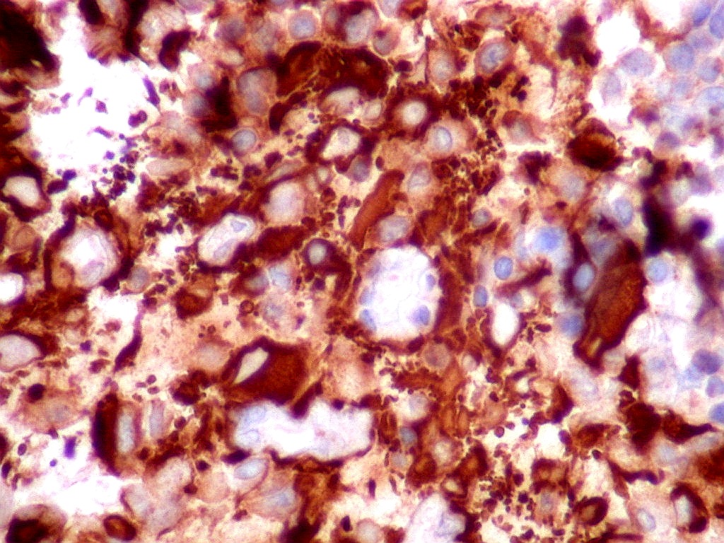
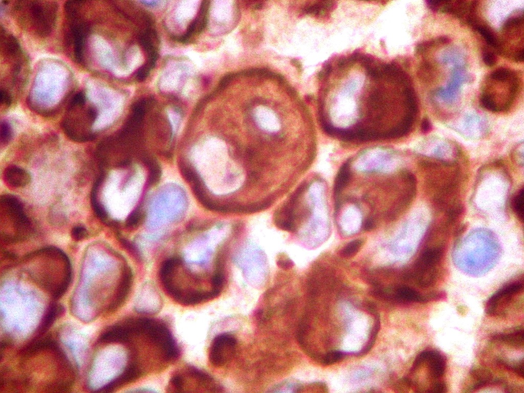
Tumor teratóide rabdóide atípico de III ventrículo. 
2. Vimentina, GFAP. 
....
Fem. 17a 
.......
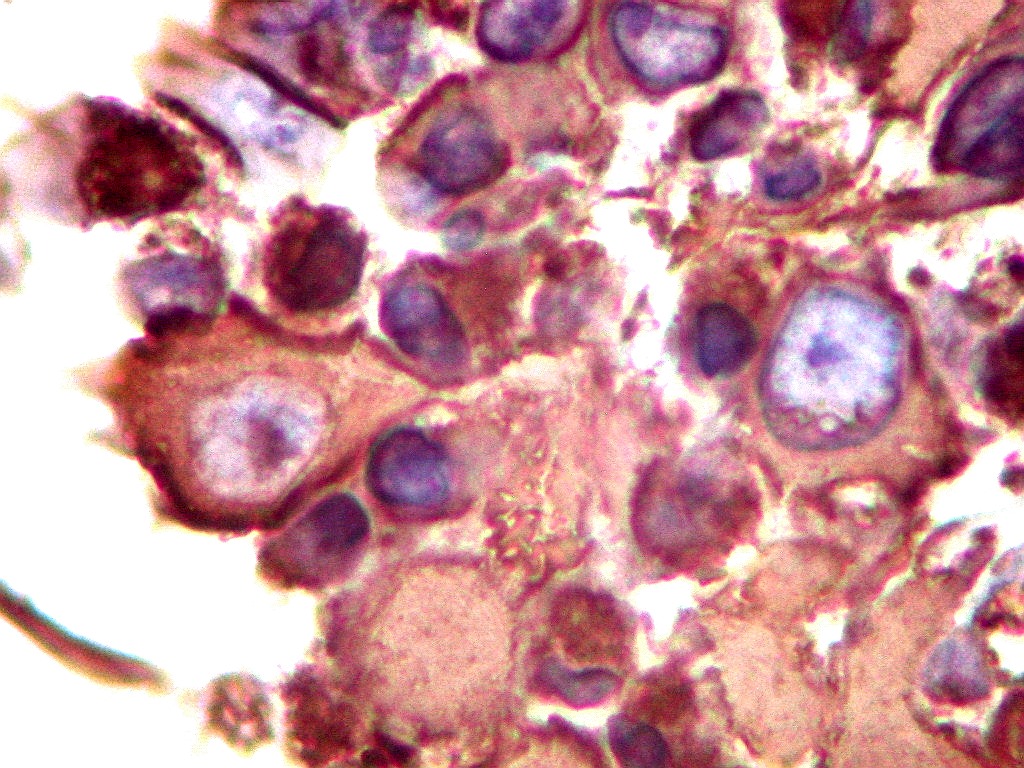
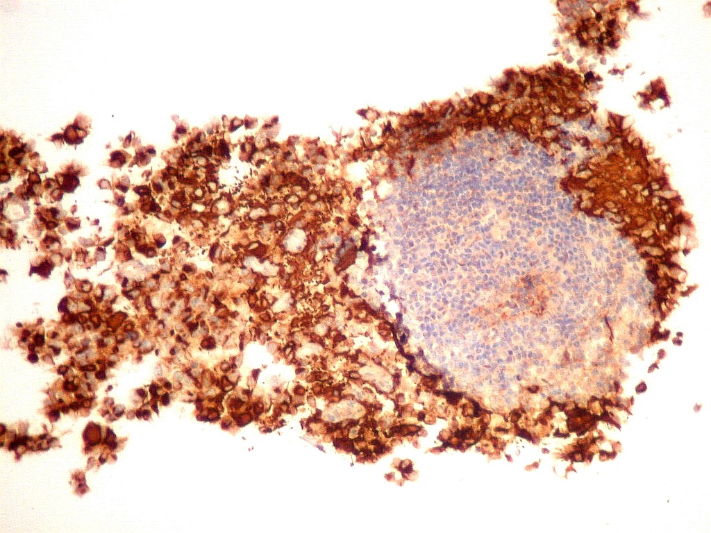
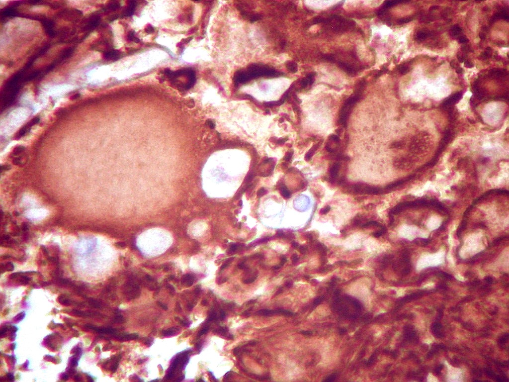
Vimentina.   Filamento intermediário ubiquitário, presente em tecidos de várias linhagens. Aqui expressada nas células tumorais e no tecido nervoso, inclusive em células ependimárias. 
..
....
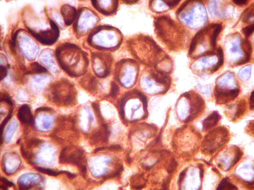
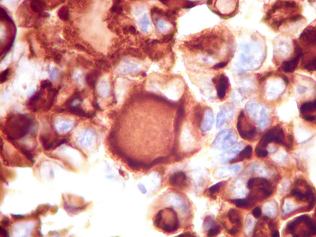
GFAP.     O filamento intermediário do citoesqueleto que caracteriza os astrócitos é forte e difusamente positivo nas células neoplásicas deste tumor teratóide-rabdóide atípico.  Indica diferenciação astrocitária no tumor.  O folículo linfóide e vasos proliferados são negativos.  O epêndima  do III ventrículo, onde o tumor está localizado, também é GFAP positivo.
.....
......
Agradecimentos.    Caso do Centro Infantil Boldrini, Campinas, SP.   Preparações histopatológicas e imunohistoquímicas pelos técnicos do Laboratório de Patologia daquele hospital  - Srs. Aparecido Paulo de Moraes e Irineu Mantovanelli Neto. 
..............
Mais imagens deste caso.
F. 17a. Tumor teratóide rabdóide atípico de III ventrículo.  RM  HE VIM, GFAP HHF35, desmina, 1A4 AE1AE3, EMA
Sinaptofisina. MAP2, S-100 INI1 CD3, CD20, CD68, CD34 Ki67 p53
....
Tumor teratóide/rabdóide  atípico. 
Casos de neuroimagem, neuropatologia
Tumor teratóide/rabdóide atípico, textos  (1) (2)
...
Neuropatologia
- Graduação
Neuropatologia -
Estudos de casos
Neuroimagem
- Graduação
Neuroimagem - 
Estudos de Casos
Roteiro 
de aulas
Textos 
de apoio
Correlação 
Neuropatologia - Neuroimagem
Índice alfabético - Neuro Adições recentes Banco de imagens - Neuro Textos ilustrados Neuromuscular Patologia - outros aparelhos Pages in English
..
..