|
|
|
|
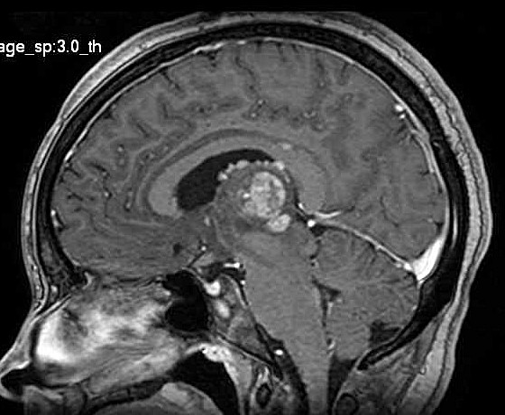
| Fem. 17a. |
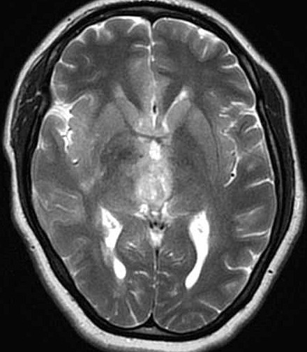
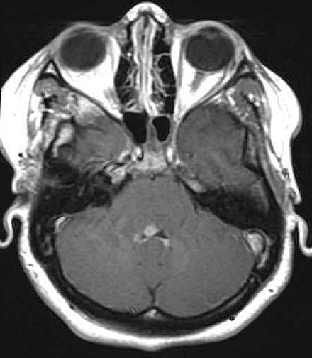
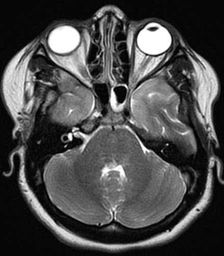
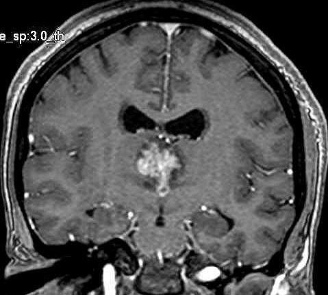
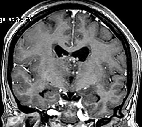
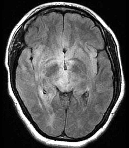
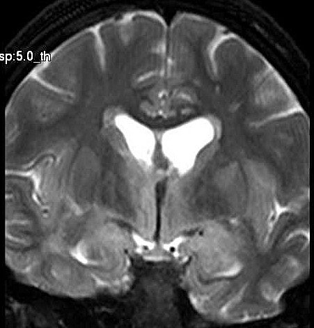
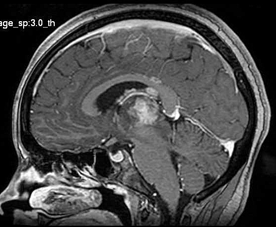
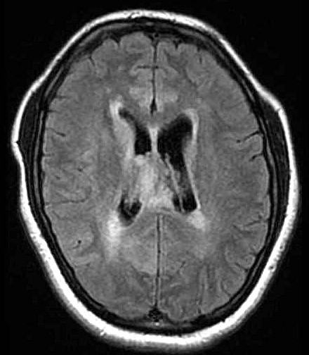
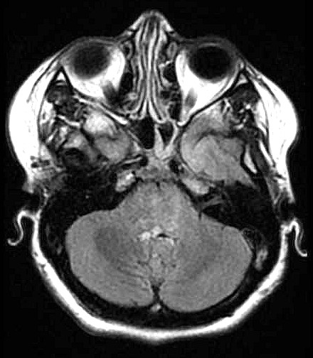
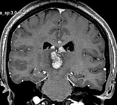
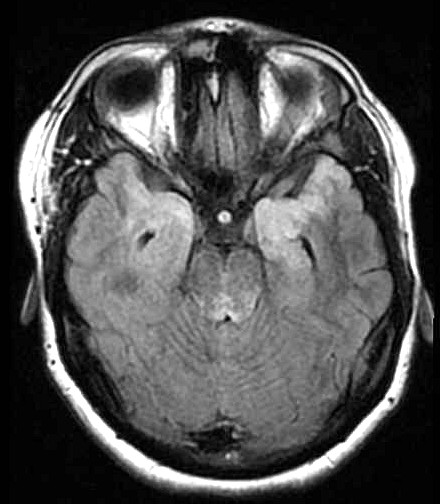
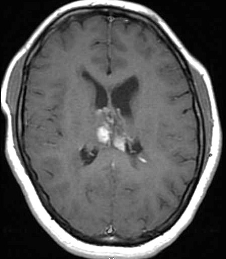
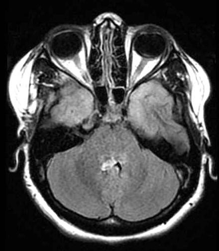
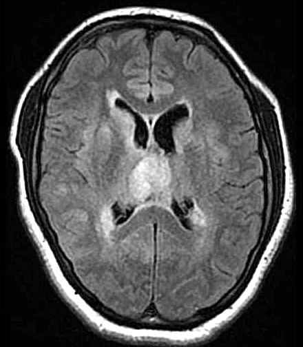
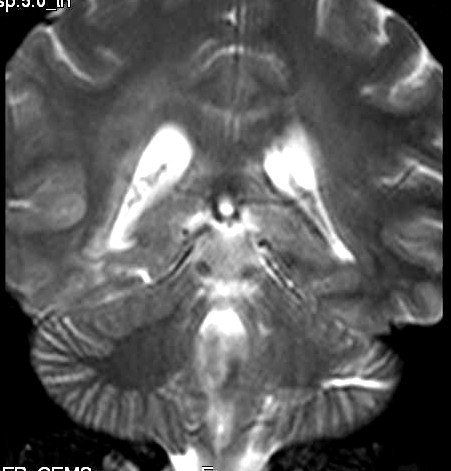
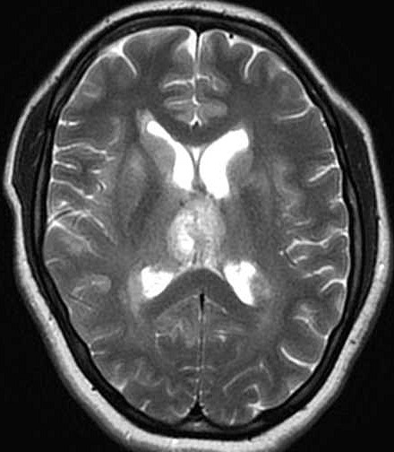
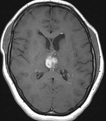
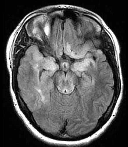
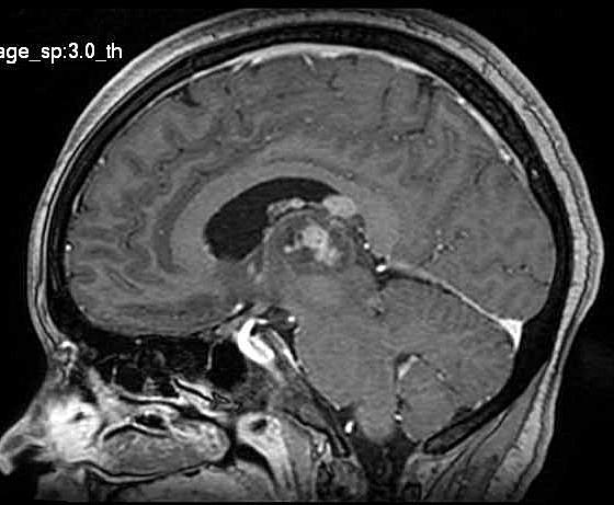
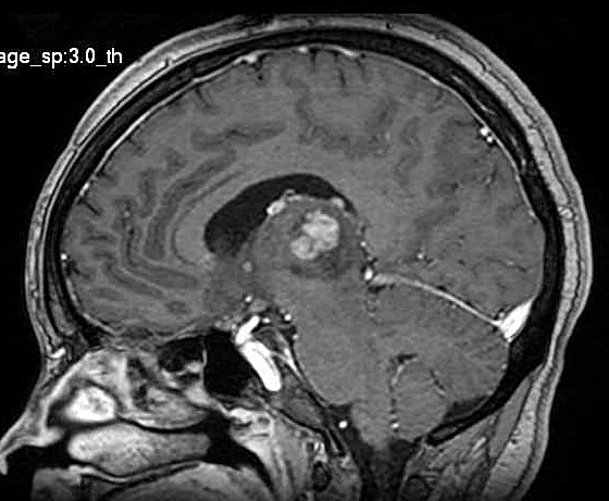
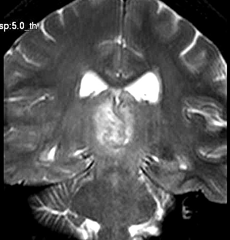
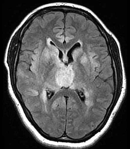
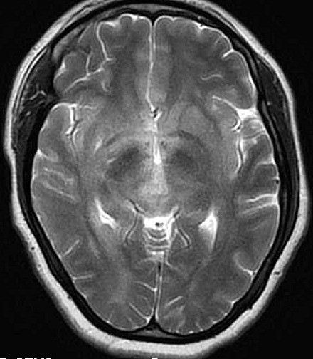
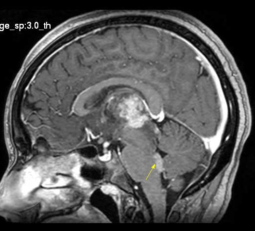
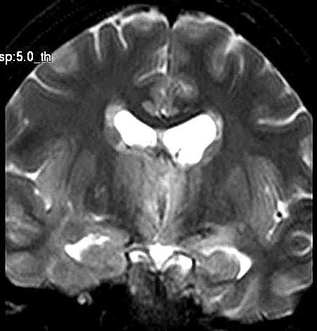
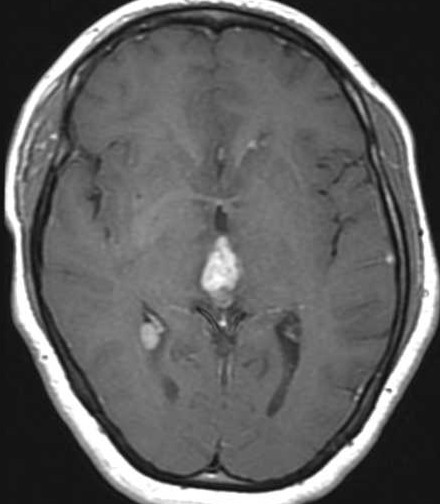
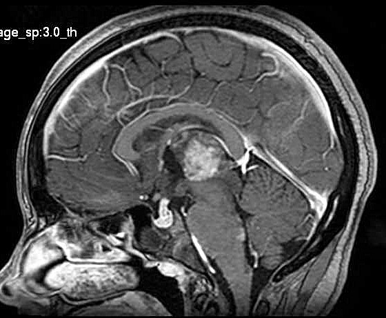
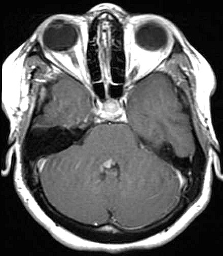
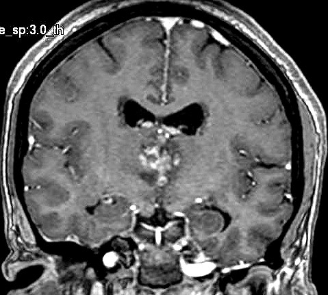
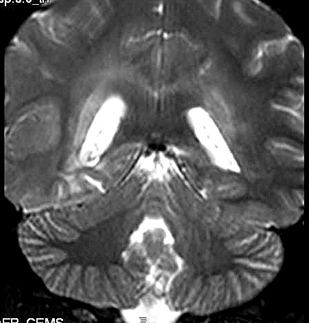
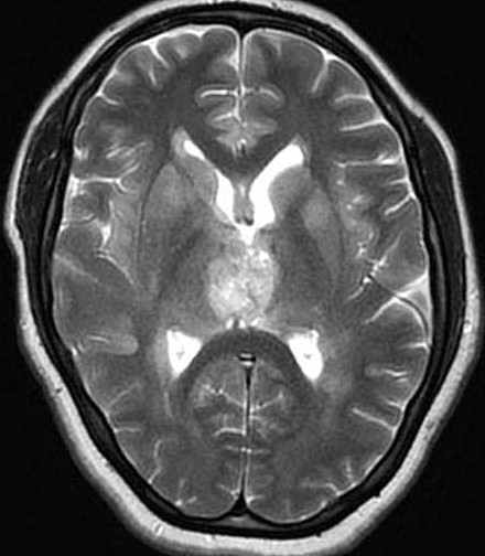
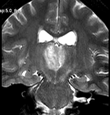
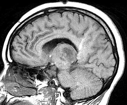
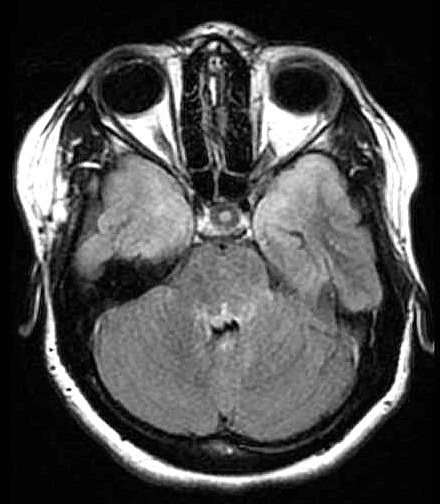
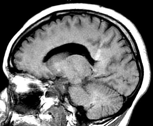
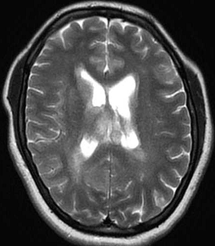
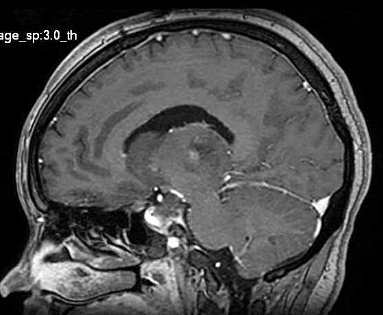
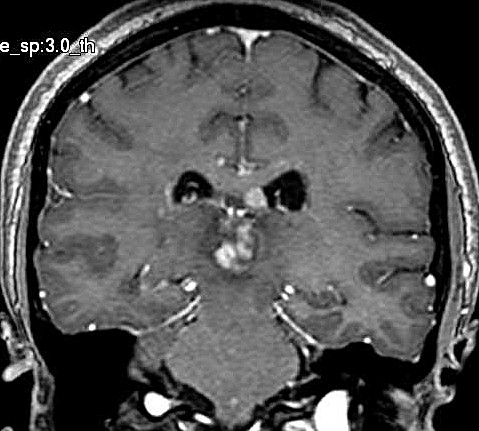
| Nódulo sólido homogêneo preenchendo o III ventrículo, com limites precisos, com hipossinal em T1 e hipersinal em T2 e FLAIR, que se impregna por contraste paramagnético. Lesão menor implantada no assoalho do IV ventrículo provavelmente representa disseminação por via liquórica. |
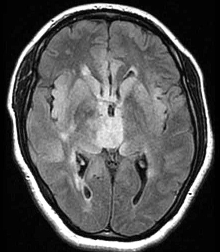
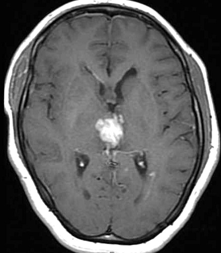
| CORTES AXIAIS, T1 COM CONTRASTE | ||
![]() |
![]() |
![]() |
| AXIAIS, FLAIR | T2 | |
![]() |
![]() |
![]() |
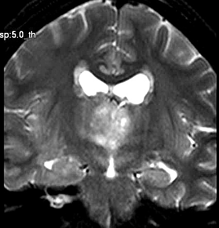
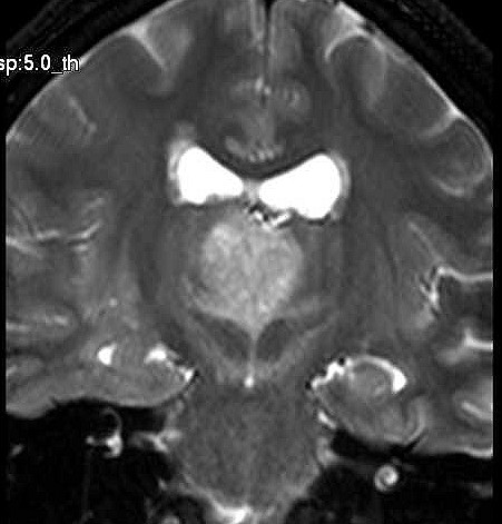
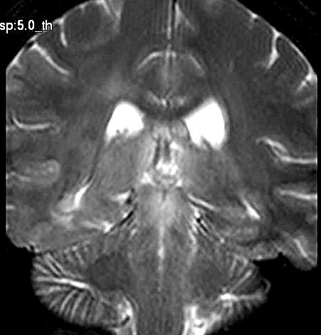
| CORONAL, T2 | T1 COM CONTRASTE | |
![]() |
![]() |
![]() |
..
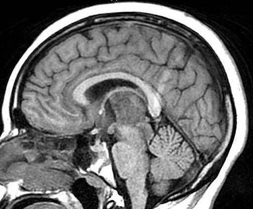
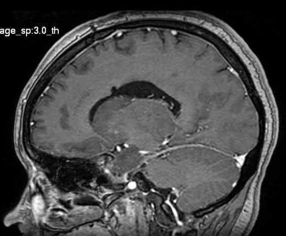
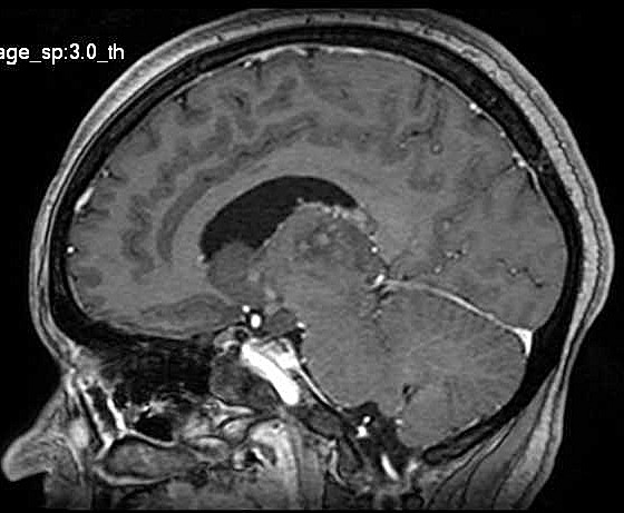
| SAGITAIS, T1 SEM CONTRASTE | T1 COM CONTRASTE | |
![]() |
![]() |
![]() |
..
|
|
| CORTES AXIAIS, T1 COM CONTRASTE | ||
![]() |
![]() |
![]() |
![]() |
![]() |
![]() |
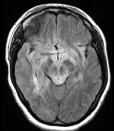
| CORTES AXIAIS, FLAIR | ||
![]() |
![]() |
![]() |
![]() |
![]() |
![]() |
![]() |
![]() |
![]() |
![]() |
![]() |
![]() |
..
| CORTES AXIAIS, T2 | ||
![]() |
![]() |
![]() |
![]() |
![]() |
![]() |
..
| CORTES CORONAIS, T2 | ||
![]() |
![]() |
![]() |
![]() |
![]() |
![]() |
![]() |
![]() |
![]() |
..
| CORTES CORONAIS, T1 COM CONTRASTE | ||
![]() |
![]() |
![]() |
![]() |
![]() |
![]() |
![]() |
![]() |
![]() |
![]() |
![]() |
![]() |
......
| CORTES SAGITAIS, T1 SEM CONTRASTE | ||
![]() |
![]() |
![]() |
![]() |
![]() |
![]() |
.
| CORTES SAGITAIS, T1 COM CONTRASTE | ||
![]() |
![]() |
![]() |
![]() |
![]() |
![]() |
![]() |
![]() |
![]() |
| Agradecimentos.
Caso do Centro Infantil Boldrini, Campinas, SP.
Imagens arquivadas no PACS e no SAME da instituição. |
| Mais imagens deste caso. | ||||
![]() |
![]() |
![]() |
![]() |
![]() |
| F. 17a. Tumor teratóide rabdóide atípico de III ventrículo. RM | HE | VIM, GFAP | HHF35, desmina, 1A4 | AE1AE3, EMA |
![]() |
![]() |
![]() |
![]() |
![]() |
| Sinaptofisina. MAP2, S-100 | INI1 | CD3, CD20, CD68, CD34. | Ki67 | p53 |
|
Casos de neuroimagem, neuropatologia |
|
| Neuropatologia
- Graduação |
Neuropatologia -
Estudos de casos |
Neuroimagem
- Graduação |
Neuroimagem -
Estudos de Casos |
Roteiro
de aulas |
Textos
de apoio |
Correlação
Neuropatologia - Neuroimagem |
| Índice alfabético - Neuro | Adições recentes | Banco de imagens - Neuro | Textos ilustrados | Neuromuscular | Patologia - outros aparelhos | Pages in English |
|
|