Tumor teratóide rabdóide atípico de III ventrículo. 
7.  CD3, CD20, CD68, CD34
....
Fem. 17a 
........
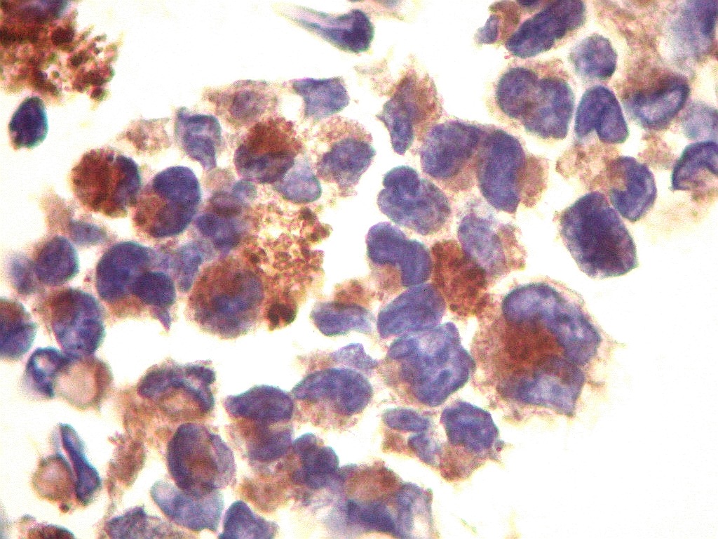
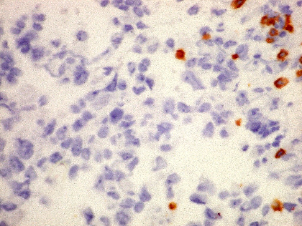
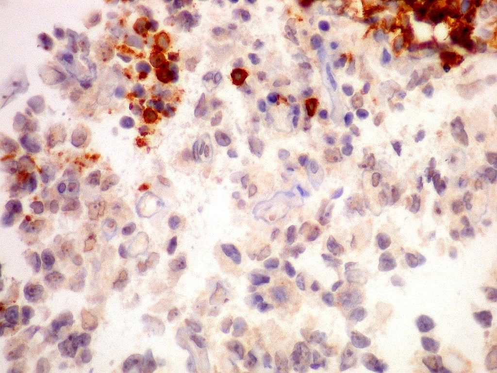
CD3.      Positivo nos linfócitos T, negativo nas células neoplásicas. 
..
..
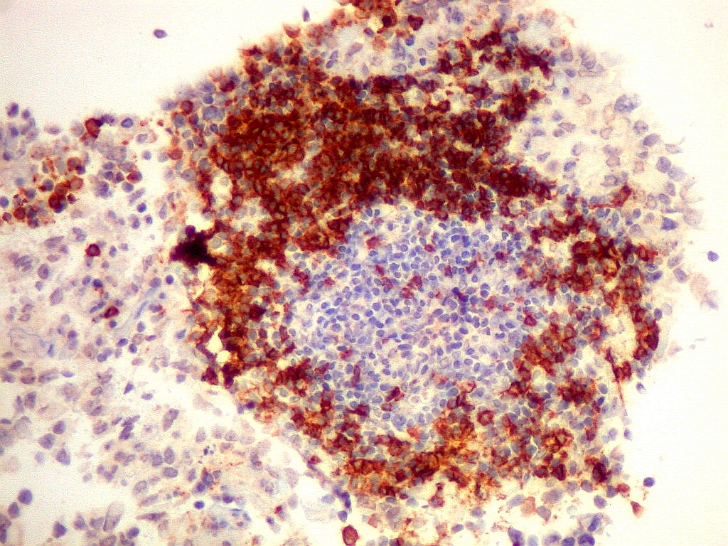
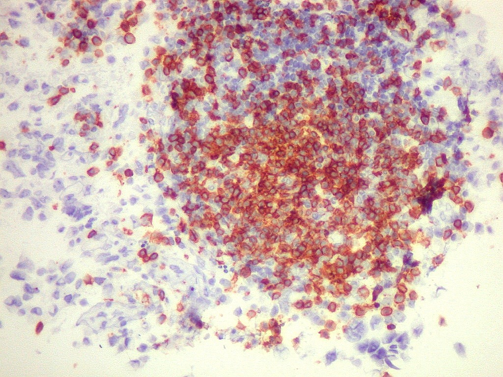
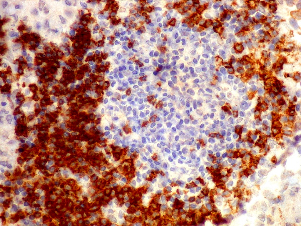
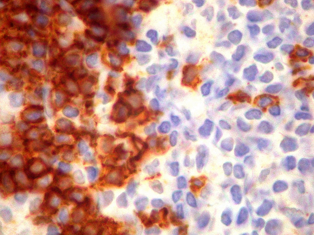
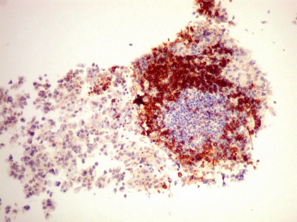
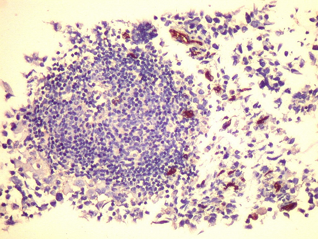
CD20.      Positivo nos linfócitos B, negativo nas células neoplásicas.  No folículo linfóide presente na amostra, as células centrais são de linhagem T, e as células B concentram-se na periferia.  Células do ATRT não se marcam. 
..
..
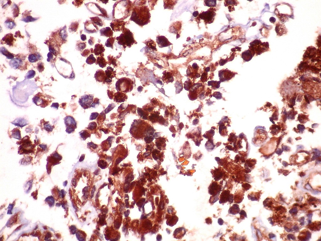
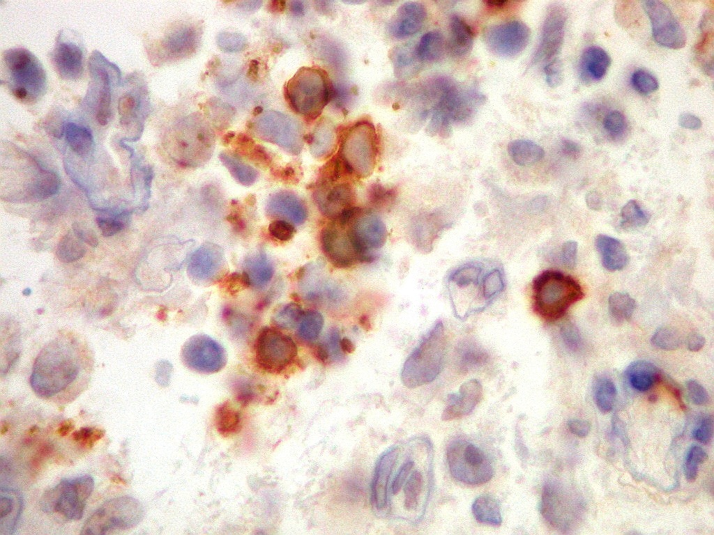
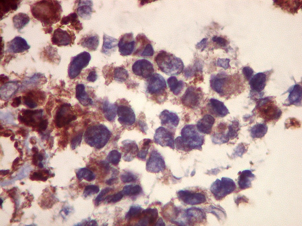
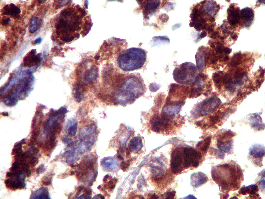
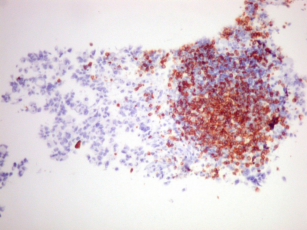
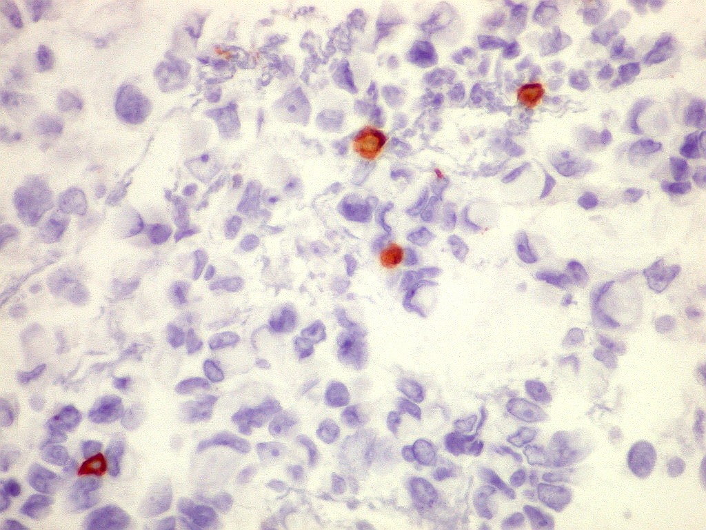
CD68.        Marca numerosos macrófagos no tumor, indicando alto turnover celular e  morte de muitas células neoplásicas, que são fagocitadas pelos macrófagos. 
..
..
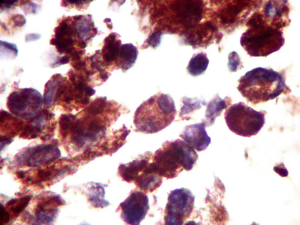
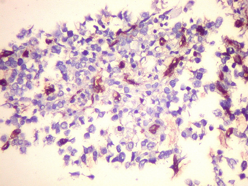
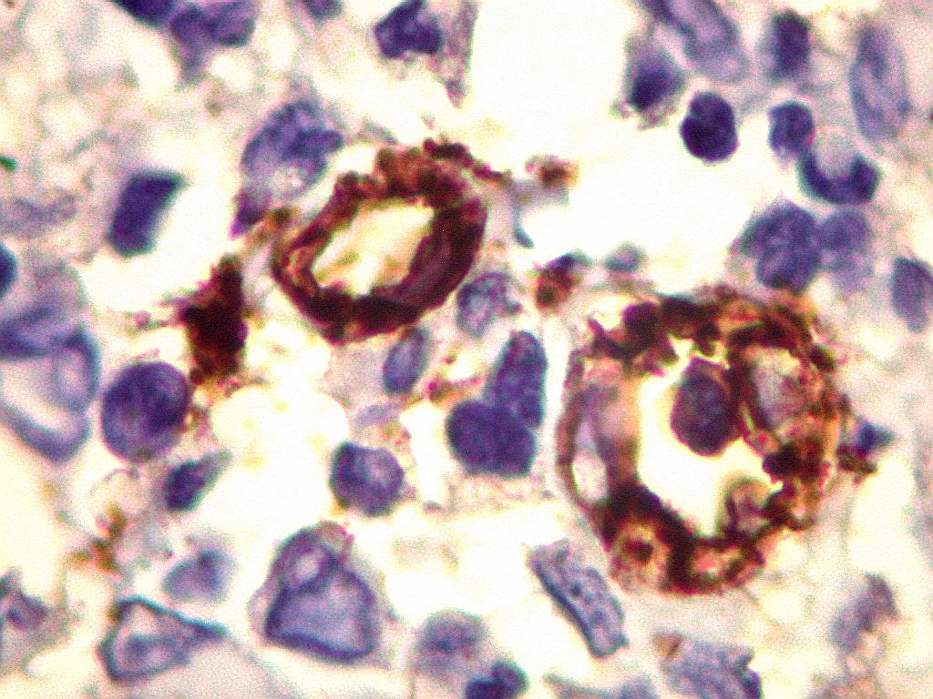
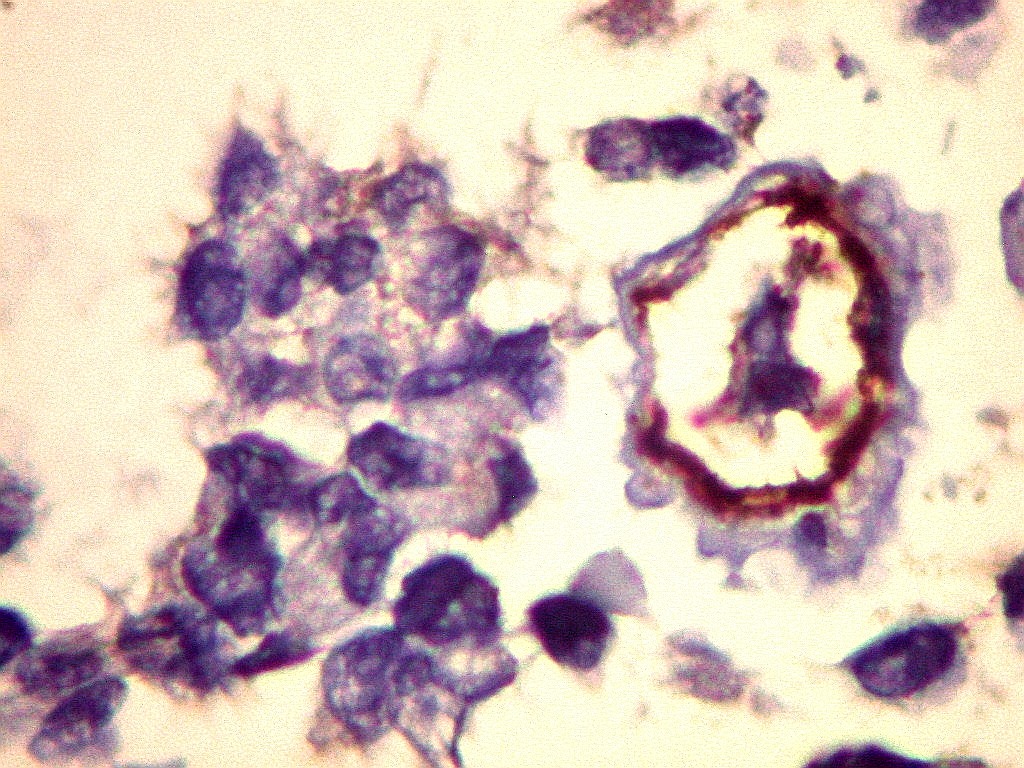
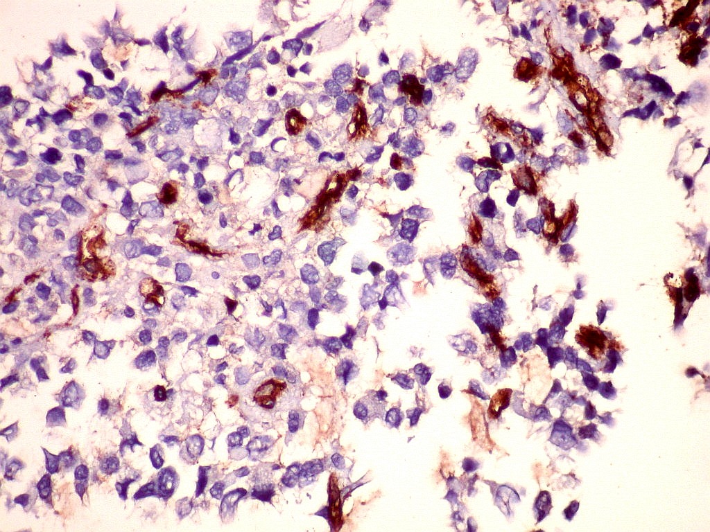
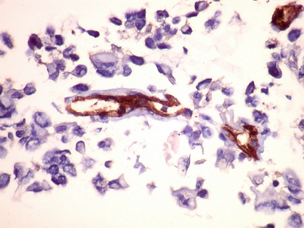
CD34.      Positivo só nos vasos, mostra  capilares bem distribuídos.  Células neoplásicas são negativas. 
......
Agradecimentos.    Caso do Centro Infantil Boldrini, Campinas, SP.   Preparações histopatológicas e imunohistoquímicas pelos técnicos do Laboratório de Patologia daquele hospital  - Srs. Aparecido Paulo de Moraes e Irineu Mantovanelli Neto. 
..............
Mais imagens deste caso.
F. 17a. Tumor teratóide rabdóide atípico de III ventrículo.  RM  HE VIM, GFAP HHF35, desmina, 1A4 AE1AE3, EMA
Sinaptofisina. MAP2, S-100 INI1 CD3, CD20, CD68, CD34 Ki67 p53
....
Tumor teratóide/rabdóide  atípico. 
Casos de neuroimagem, neuropatologia
Tumor teratóide/rabdóide atípico, textos  (1) (2)
...
Neuropatologia
- Graduação
Neuropatologia -
Estudos de casos
Neuroimagem
- Graduação
Neuroimagem - 
Estudos de Casos
Roteiro 
de aulas
Textos 
de apoio
Correlação 
Neuropatologia - Neuroimagem
Índice alfabético - Neuro Adições recentes Banco de imagens - Neuro Textos ilustrados Neuromuscular Patologia - outros aparelhos Pages in English
..
..