Tumor teratóide rabdóide atípico de III ventrículo. 
6.  INI-1.
.....
Fem. 17a 
..........
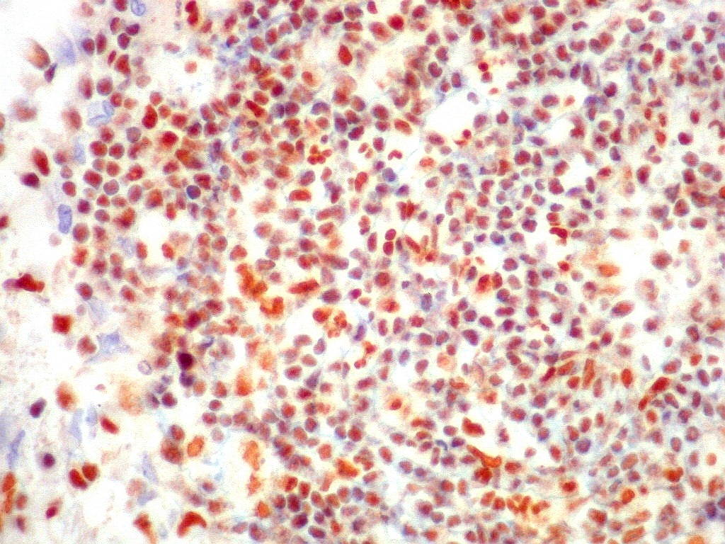
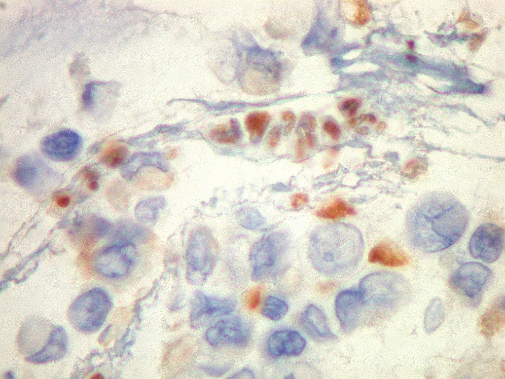
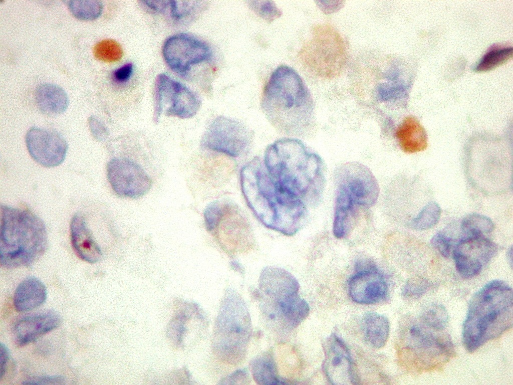
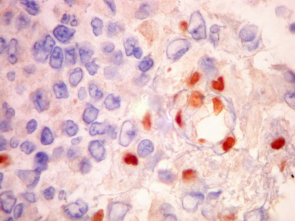
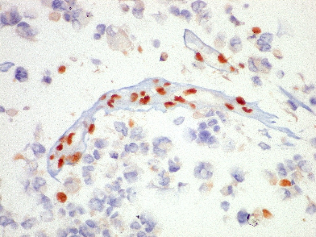
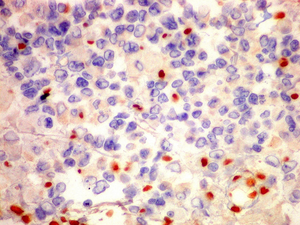
INl-1.    É um anticorpo nuclear, cuja ausência nas células neoplásicas define o tumor como tumor teratóide rabdóide atípico.  Neste espécime, as células neoplásicas mostram núcleos negativos, enquanto as células não neoplásicas são positivas.  Entre elas, células ependimárias, endoteliais,  linfóides e do sangue. 
..
..
..
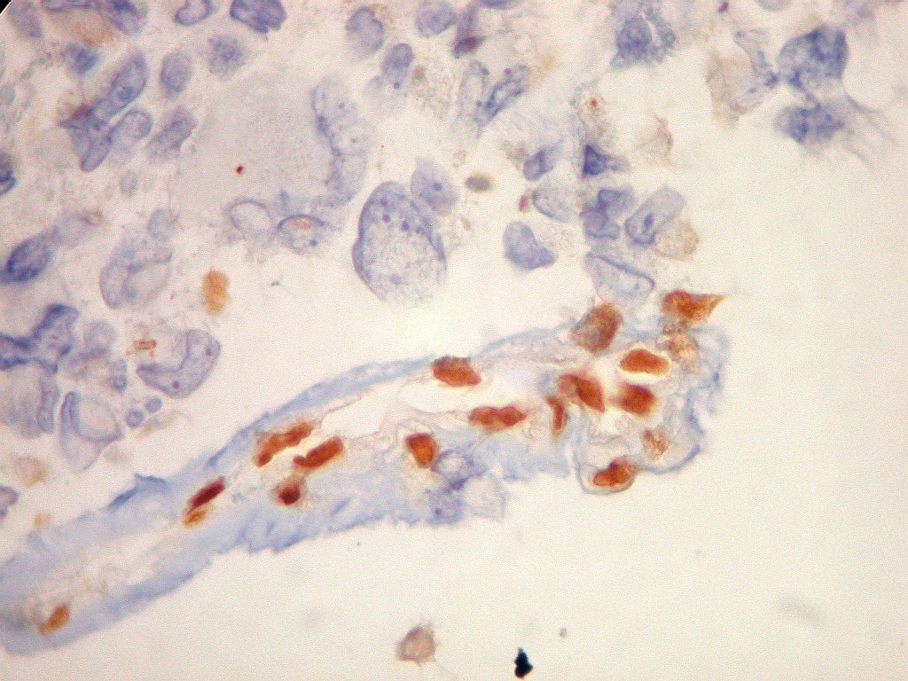
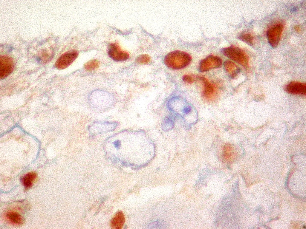
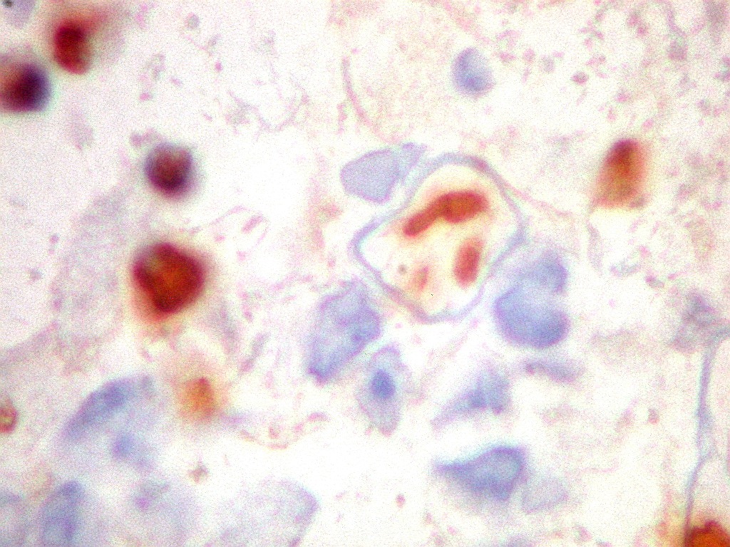
INl-1 em  macrófagos no ATRT.     Células tumorais sempre negativas.  Os macrófagos provêm do hospedeiro,  não do tumor. 
........
Agradecimentos.    Caso do Centro Infantil Boldrini, Campinas, SP.   Preparações histopatológicas e imunohistoquímicas pelos técnicos do Laboratório de Patologia daquele hospital  - Srs. Aparecido Paulo de Moraes e Irineu Mantovanelli Neto. 
..............
Mais imagens deste caso.
F. 17a. Tumor teratóide rabdóide atípico de III ventrículo.  RM  HE VIM, GFAP HHF35, desmina, 1A4 AE1AE3, EMA
Sinaptofisina. MAP2, S-100 INI1 CD3, CD20, CD68, CD34 Ki67 p53
....
Tumor teratóide/rabdóide  atípico. 
Casos de neuroimagem, neuropatologia
Tumor teratóide/rabdóide atípico, textos  (1) (2)
...
Neuropatologia
- Graduação
Neuropatologia -
Estudos de casos
Neuroimagem
- Graduação
Neuroimagem - 
Estudos de Casos
Roteiro 
de aulas
Textos 
de apoio
Correlação 
Neuropatologia - Neuroimagem
Índice alfabético - Neuro Adições recentes Banco de imagens - Neuro Textos ilustrados Neuromuscular Patologia - outros aparelhos Pages in English
..
..