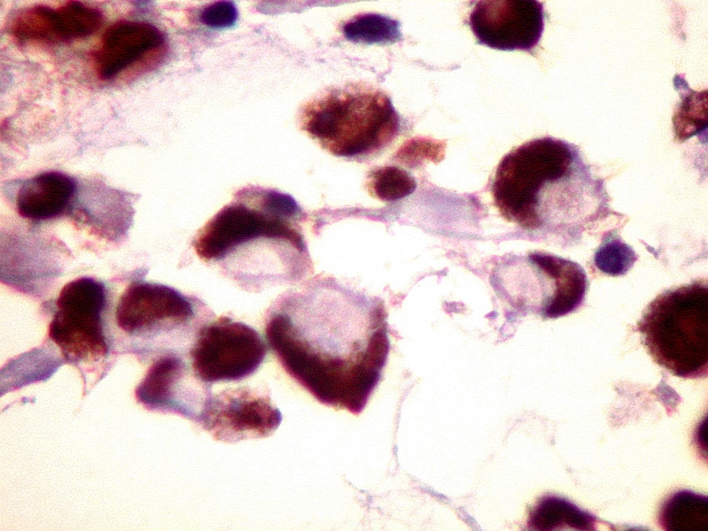
Tumor teratóide rabdóide atípico de III ventrículo. 
8.  Ki67,  p53
.....
Fem. 17a 
...............
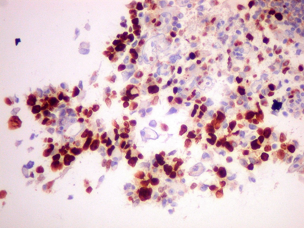
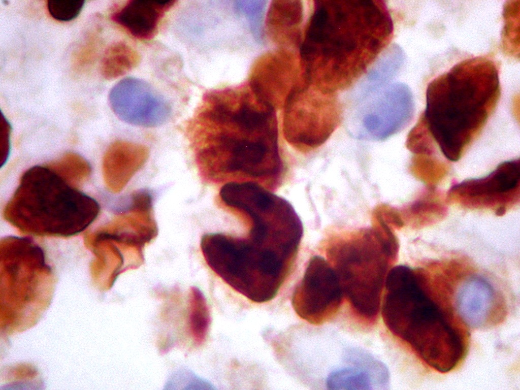
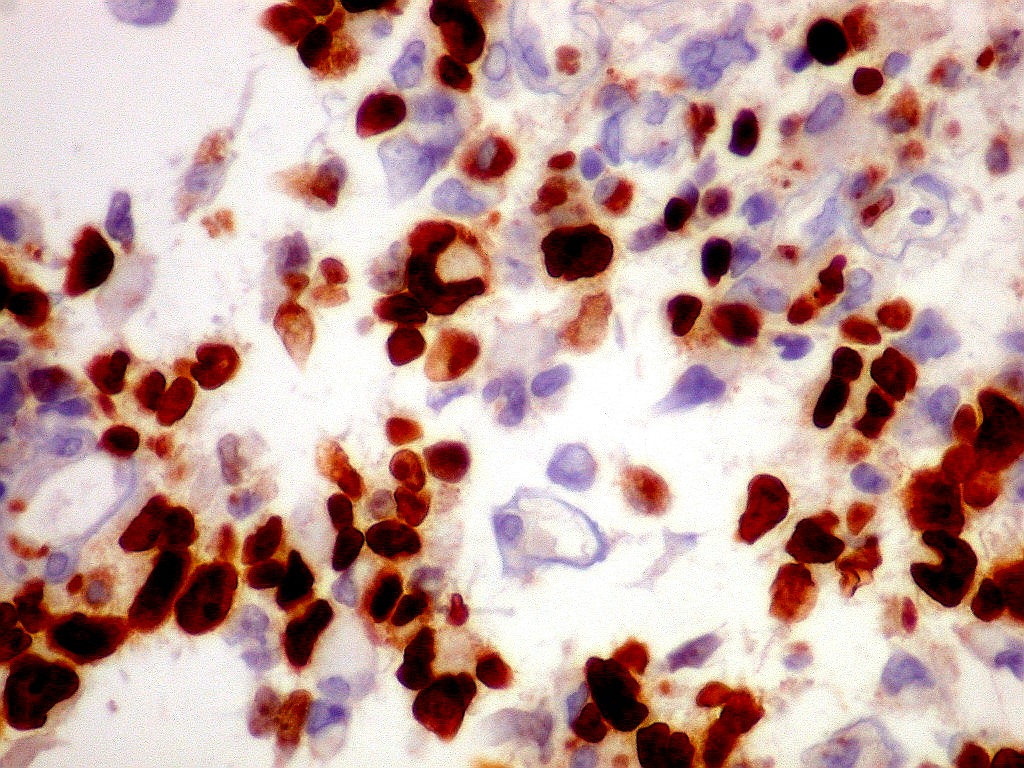
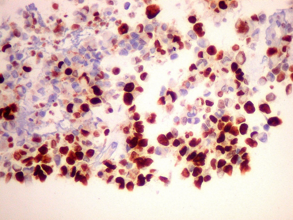
Ki67.      Positivo em cerca de 90% das células neoplásicas (altíssimo índice proliferativo).  Evidencia a morfologia arqueada dos núcleos, deformados pelos corpúsculos rabdóides.  Há poucas células neoplásicas não marcadas. 
..
..
....
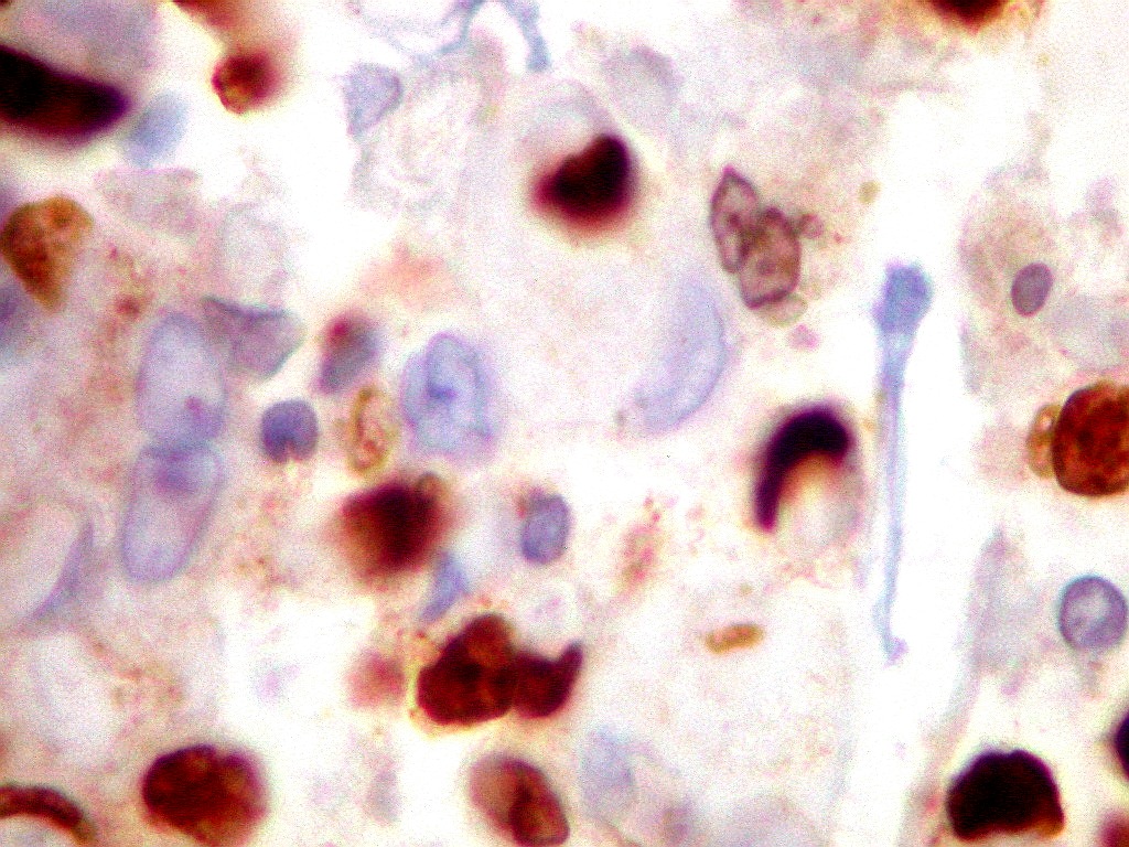
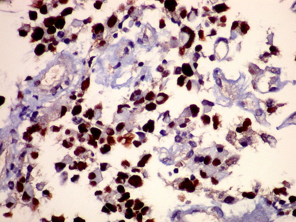
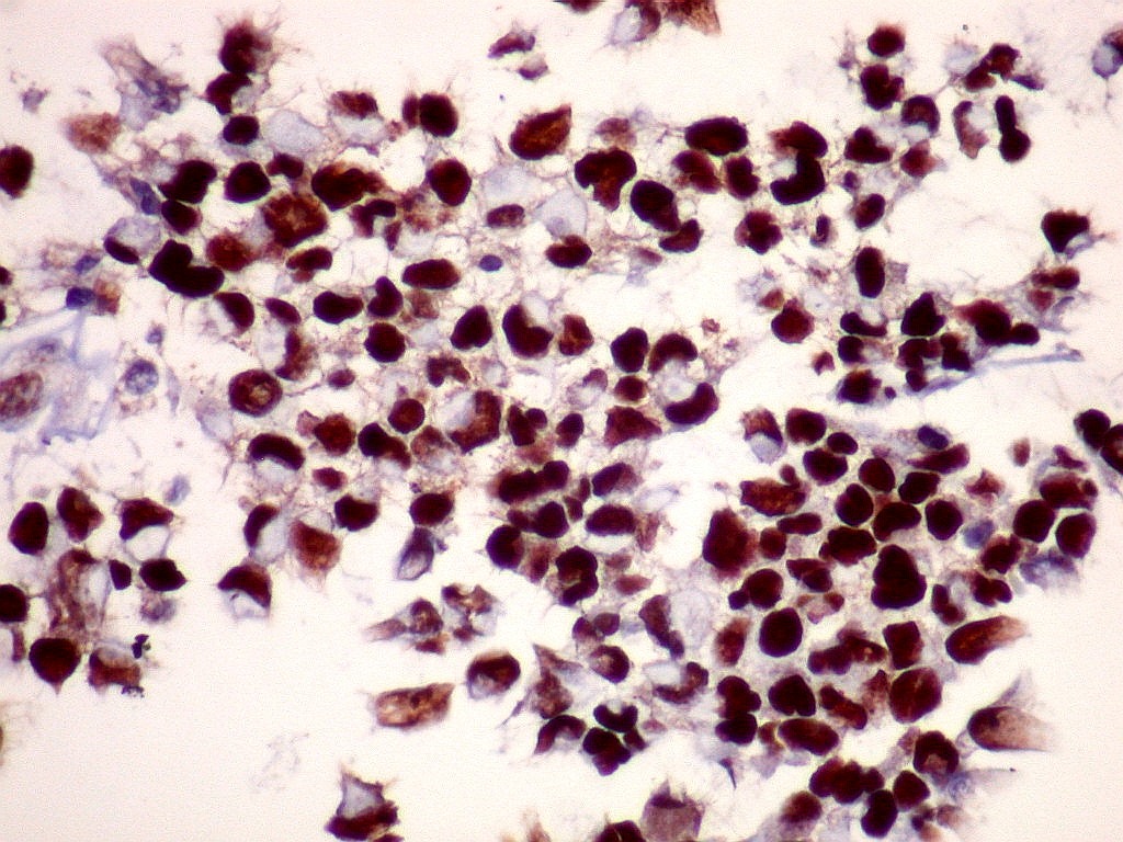
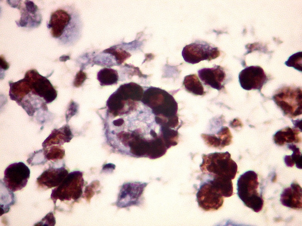
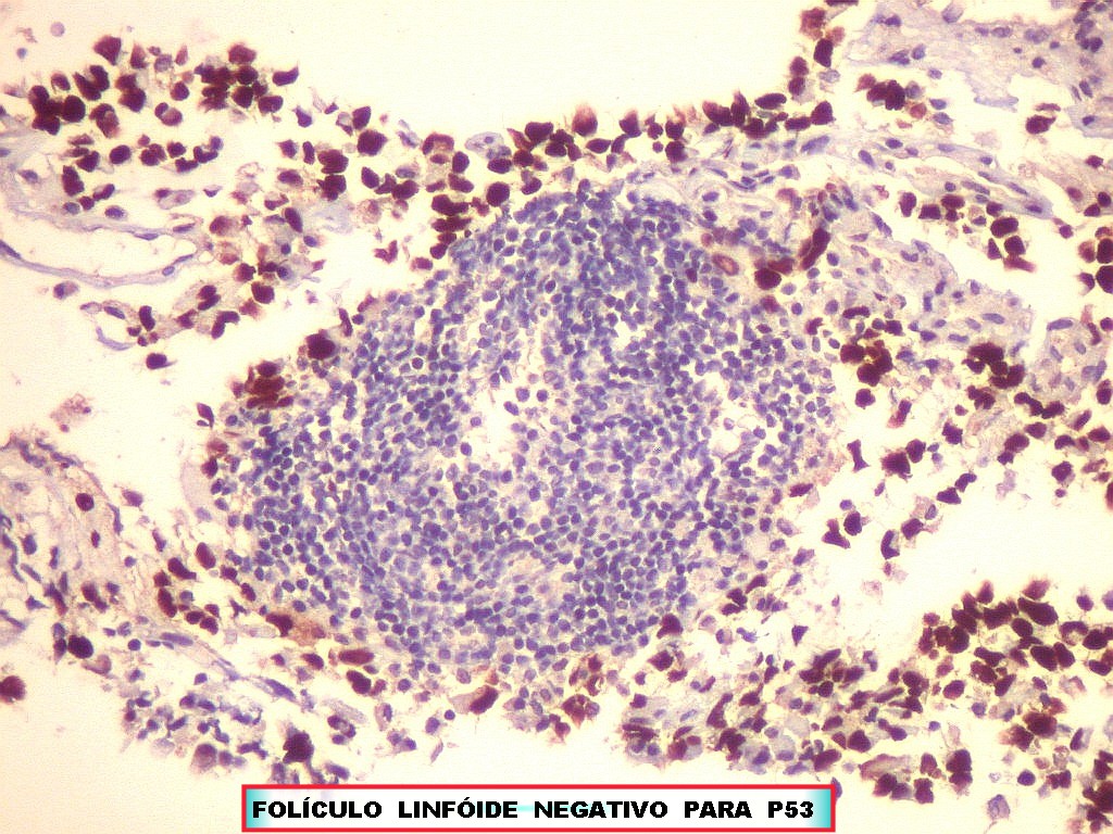
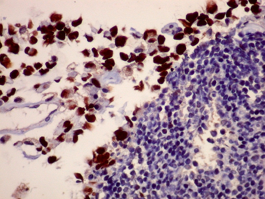
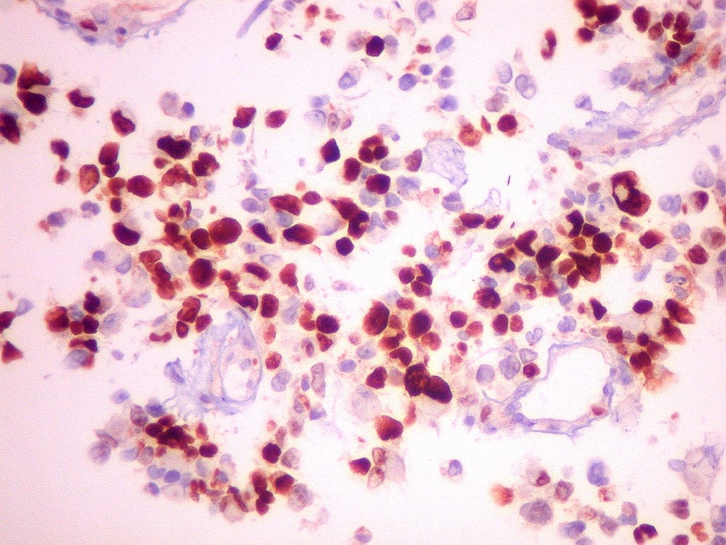
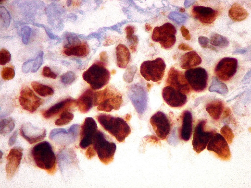
p53.      Positivo na virtual totalidade das células neoplásicas.  Indica mutação do gene p53, impedindo a apoptose das células com genoma incompatível com a normalidade.  Isto é notado apenas nas células neoplásicas.  Células vasculares e linfóides não marcam, pois não pertencem ao tumor, sendo derivadas dos tecidos hospedeiros.
....
Agradecimentos.    Caso do Centro Infantil Boldrini, Campinas, SP.   Preparações histopatológicas e imunohistoquímicas pelos técnicos do Laboratório de Patologia daquele hospital  - Srs. Aparecido Paulo de Moraes e Irineu Mantovanelli Neto. 
..............
Mais imagens deste caso.
F. 17a. Tumor teratóide rabdóide atípico de III ventrículo.  RM  HE VIM, GFAP HHF35, desmina, 1A4 AE1AE3, EMA
Sinaptofisina. MAP2, S-100 INI1 CD3, CD20, CD68, CD34 Ki67 p53
....
Tumor teratóide/rabdóide  atípico. 
Casos de neuroimagem, neuropatologia
Tumor teratóide/rabdóide atípico, textos  (1) (2)
...
Neuropatologia
- Graduação
Neuropatologia -
Estudos de casos
Neuroimagem
- Graduação
Neuroimagem - 
Estudos de Casos
Roteiro 
de aulas
Textos 
de apoio
Correlação 
Neuropatologia - Neuroimagem
Índice alfabético - Neuro Adições recentes Banco de imagens - Neuro Textos ilustrados Neuromuscular Patologia - outros aparelhos Pages in English
..
..