|
|
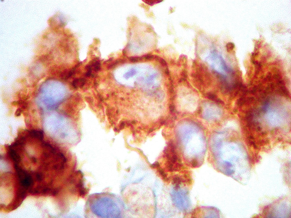
4. Antígenos epiteliais AE1AE3, EMA |
|
| Fem. 17a |
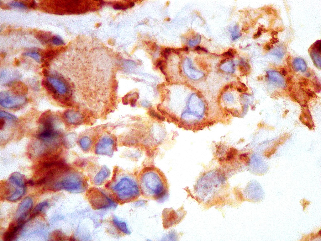
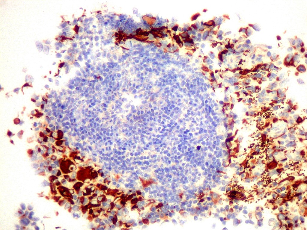
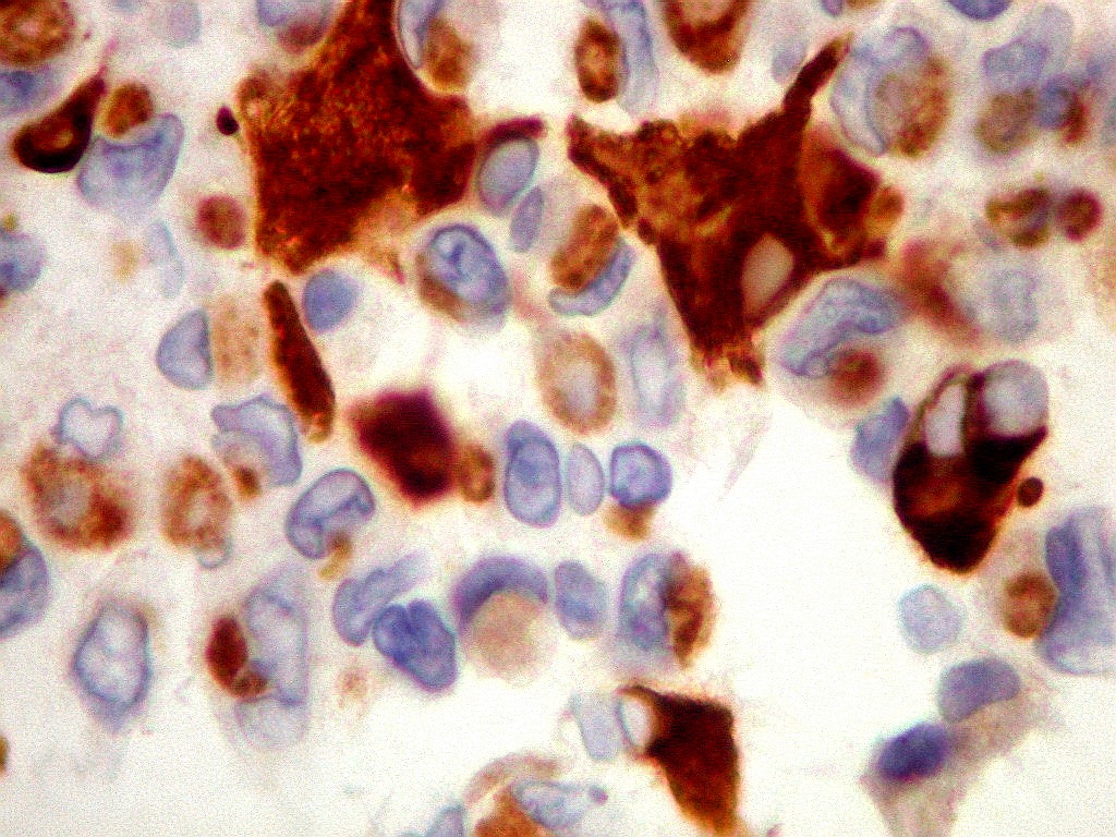
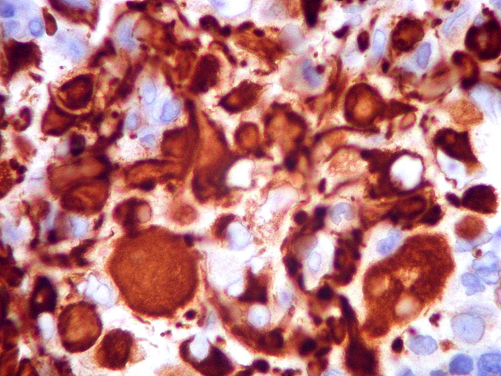
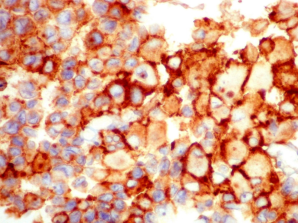
| AE1AE3. Pancitoqueratina, um coquetel para queratinas de alto e baixo peso molecular, indica linhagem epitelial das células neoplásicas. Aqui, fortemente positiva nas células tumorais, com controle interno negativo num folículo linfóide, constituído por linfócitos. Ver marcação para estes em CD3, CD20. Indica diferenciação epitelial. |
![]() |
![]() |
|
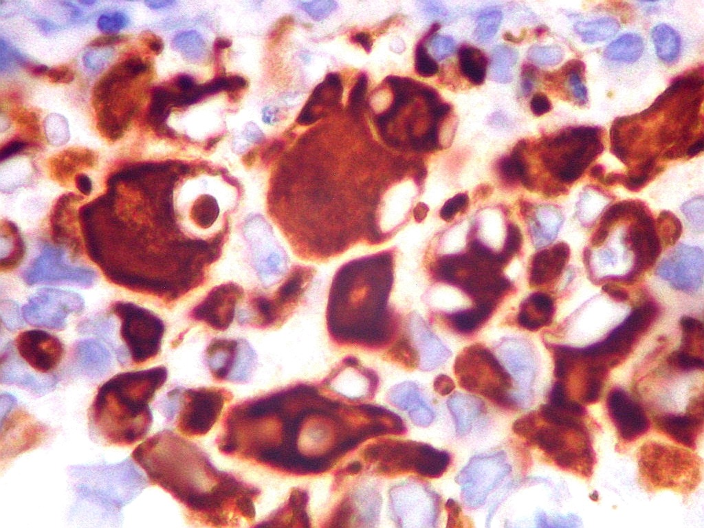
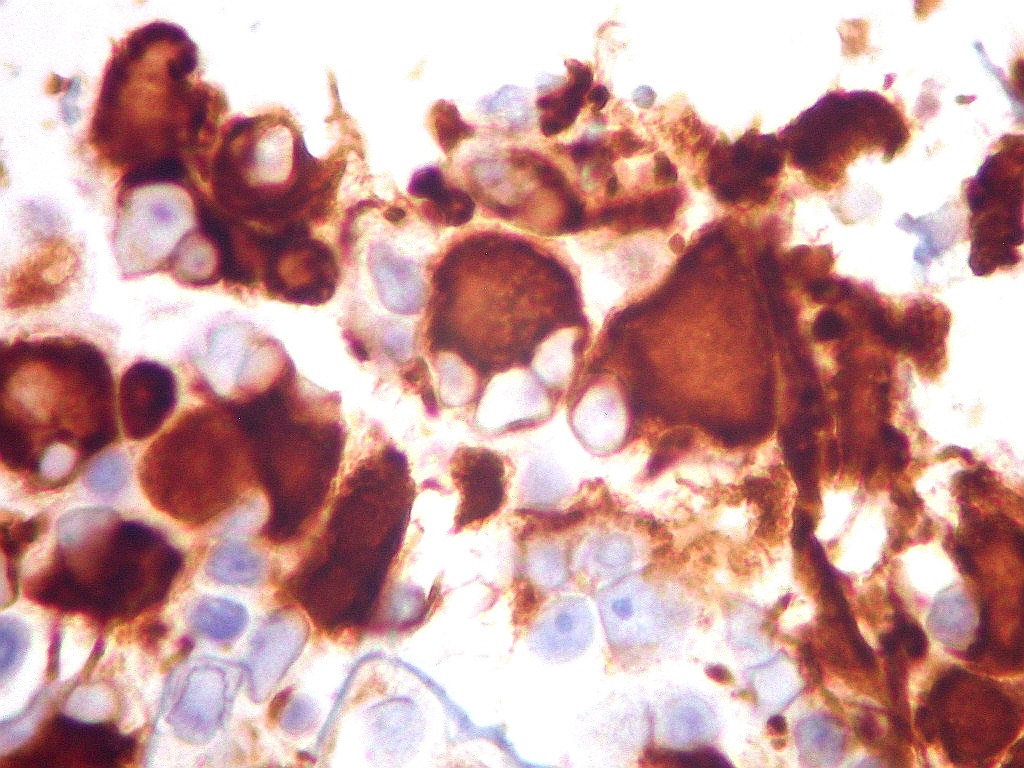
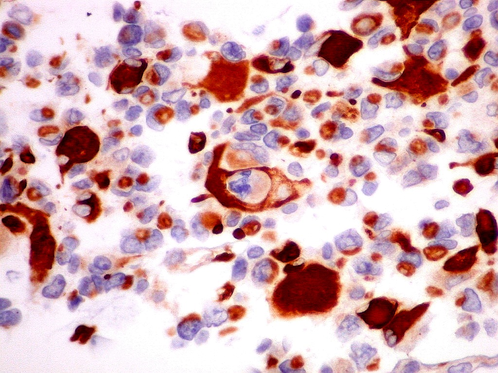
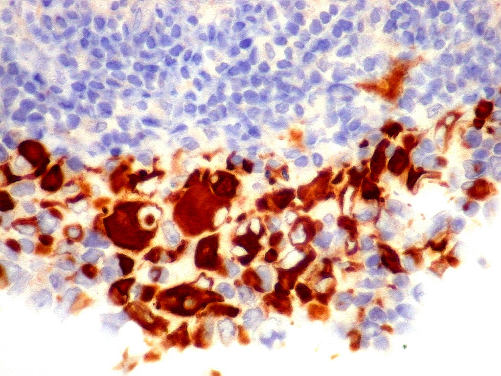
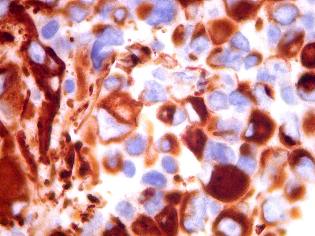
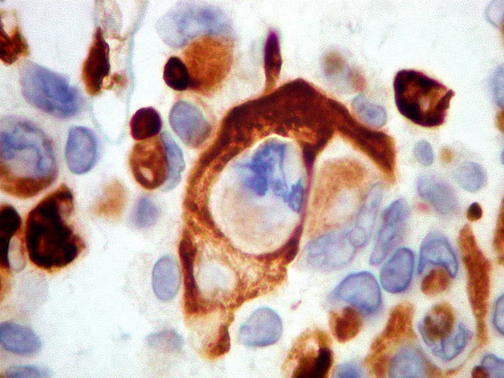
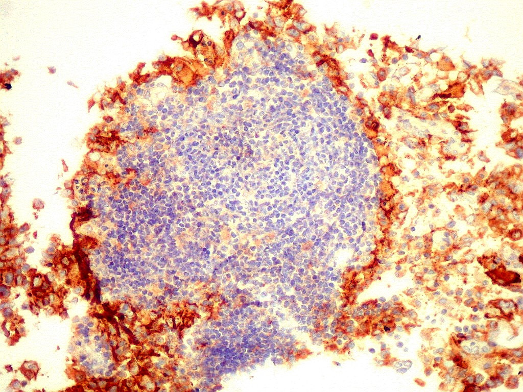
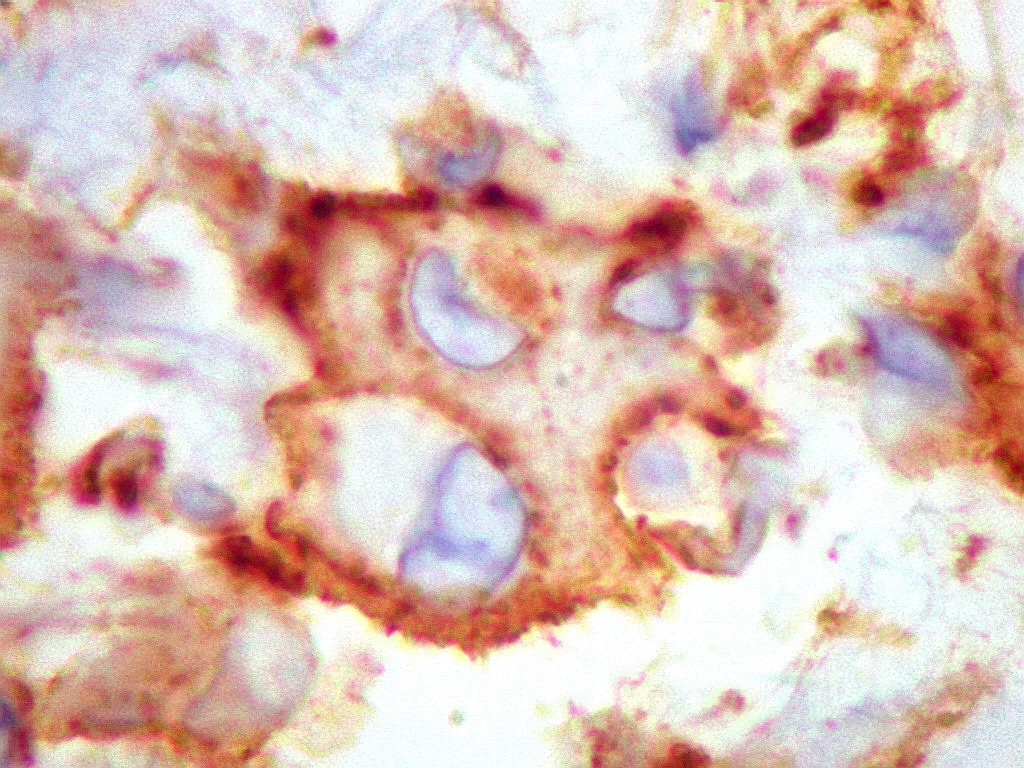
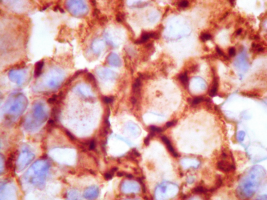
| EMA. Antígeno epitelial de membrana. Ocorre em epitélios, e também em células meningoteliais. Aqui fortemente positiva nas células deste tumor teratóide rabdóide atípico. Negativo no folículo linfóide incluído fortuitamente na amostra. Positivo também no epêndima do III ventrículo adjacente ao tumor. Notar que as células ependimárias são ciliadas. |
![]() |
![]() |
|
![]() |
![]() |
| Agradecimentos. Caso do Centro Infantil Boldrini, Campinas, SP. Preparações histopatológicas e imunohistoquímicas pelos técnicos do Laboratório de Patologia daquele hospital - Srs. Aparecido Paulo de Moraes e Irineu Mantovanelli Neto. |
| Mais imagens deste caso. | ||||
![]() |
![]() |
![]() |
![]() |
![]() |
| F. 17a. Tumor teratóide rabdóide atípico de III ventrículo. RM | HE | VIM, GFAP | HHF35, desmina, 1A4 | AE1AE3, EMA |
![]() |
![]() |
![]() |
![]() |
![]() |
| Sinaptofisina. MAP2, S-100 | INI1 | CD3, CD20, CD68, CD34. | Ki67 | p53 |
|
Casos de neuroimagem, neuropatologia |
|
| Neuropatologia
- Graduação |
Neuropatologia -
Estudos de casos |
Neuroimagem
- Graduação |
Neuroimagem -
Estudos de Casos |
Roteiro
de aulas |
Textos
de apoio |
Correlação
Neuropatologia - Neuroimagem |
| Índice alfabético - Neuro | Adições recentes | Banco de imagens - Neuro | Textos ilustrados | Neuromuscular | Patologia - outros aparelhos | Pages in English |
|
|